http://www.999brain.com 林涛 刘妲 张旭标 陈志杰 李海南 时间:2020-10-29 来源:神经外二科 编辑:lsw 阅读:5311
目的 探讨指状突树突细胞肉瘤的临床影像学和病理特征、 免疫表型及其鉴别诊断,提高该病诊断准确率。
方法 我科接诊1位61岁女性患者,头颅CT及MR检查提示左侧额部镰旁一个4.0 ×3.7×2.6cm占位性病变,在显微镜下行肿瘤切除术,术后行HE染色和免疫组化分析。
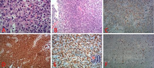
结果 病变在镜下可见硬膜组织内可见弥漫增生的肿瘤细胞,为卵圆形或短梭形细胞构成,细胞呈螺旋状排列细胞具有异型性,见少量核分裂像<5个/10HPF,未见坏死间质内见多灶性的淋巴细胞浸润。免疫组化示:CD163、CD68、S-100均弥漫(+),CD1a(-),Langerin(-),EMA灶性弱(+),PR个别(+),CD34、SSTR-2、GFAP、Olig-2、Melan-A、HMB-45、CD21、CD23均(-),CK(-/+),Ki-67 15%(+)。病理结果提示为罕见的脑内指状突树突细胞肉瘤。
结论 指状突树突细胞肉瘤是一种罕见的组织细胞和树突细胞的恶性肿瘤,确诊依靠病理检查行排他性诊断。本病例的脑指状突树突细胞肉在国内属于首次报道。该病发生在硬脑膜时其影像学表现与脑膜瘤相似,容易误诊,并且治疗上还需进一步放化疗等辅助治疗。
【关键词】指状突树突细胞肉瘤;脑膜瘤;误诊;
指状突树突细胞肉瘤(interdigital dendritic cell sarcoma,IDCS)是一种罕见的肿瘤,目前世界范围内仅报道100多例1, 2。该病主要发生在淋巴结系统,另有部分发生在肝脏、肝、胃肠道和肺等躯干器官。在中枢神经系统更加极为罕见,我们通过检索发现只有在2016年 3 Hutter等曾报道发现首例颅内指状突树突细胞肉瘤。我科于2017年11月收治1例脑膜指状突树突细胞肉瘤,本病例在国内属于第一次报道,在世界范围内属于第二例报道。现将该病例报道如下,并通过学习献来讨论该罕见病。
临床资料
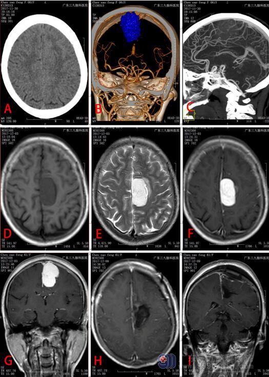
患者于2017年11月29日就诊我院,61岁女性,主诉为“头晕、头痛伴右侧肢体乏力1月”。入院时查体:左侧肌力5级,右侧肢体肌力4级,肌张力正常,全身深浅感觉体查未见异常,余神经专科查体未见明显异常。入院后行头颅CT。头颅MR平扫+增强,结果提示:左侧额顶部镰旁占位性病变,考虑脑膜瘤(血管瘤型可能)。术前诊断:左侧额顶部镰旁占位,大小约4.0 ×3.7×2.6cm,脑膜瘤可能(图1所示)。于2017年12月在全麻下行占位切除术。术中电凝离断多支肿瘤的供血动脉,肿瘤质地大部分偏硬,内见纤维及大量钙化改变,血运丰富,大部分边界清楚。肿瘤起始于中部1/3大脑镰,并且已压迫矢状窦。显微镜下肿瘤全切除(图2)。术后病理描述:(左侧中央区)组织,硬膜组织内可见弥漫增生的肿瘤细胞,为卵圆形或短梭形细胞构成,细胞呈螺旋状排列细胞具有异型性,见少量核分裂像<5个/10HPF,未见坏死间质内见多灶性的淋巴细胞浸润。免疫组化:CD163、CD68、S-100均弥漫(+),CD1a(-),Langerin(-),EMA灶性弱(+),PR个别(+),CD34、SSTR-2、GFAP、Olig-2、Melan-A、HMB-45、CD21、CD23均(-),CK(-/+),Ki-67 15%(+)(图2所示)。病理结果提示:(左侧中央区)硬膜发生的组织细胞源性肿瘤,目前的免疫组化表型支持少见的硬膜指状突细胞肉瘤。术后患者言语欠清晰,右侧肢体肌力仍只有3级,未见新发神经功能障碍。术后复查MRI显示肿瘤全切除。结合其病理表现为恶性肿瘤,告知患者需1个月后返院复查并行放射治疗,但患者由于个人原因未能返院进一步治疗。
讨论
通过复习文献,我们发现,该病在0.8-88岁之间均可发病,平均发病年龄56岁,男女比例大致为1.38 : 11。2/3的病例肿瘤位于淋巴结内, 颈部最常见,亦可见于腋下、纵隔、腹膜后及腹股沟等部位淋巴结。非淋巴结器官发生的指状突树突细胞肉瘤约占1/3,其中肝脏最为常见,其他好发器官包括肝脏4, 胃肠道5, 6, 肺4, 7, 脾脏8, 皮肤9, 鼻腔10, 腿 11和睾丸等 12.虽该病为恶性肿瘤,但是该病一般为无痛性增长,且全身症状不明显。由于本例患者肿瘤已经压迫功能区脑皮质,所以较早出现肢体功能障碍。头颈系统发生该肿瘤更加少见,2016 年Lupato教授13等专门分析了12例发生于头颈部的IDCS,但没有一例出现在颅内。这12例病例主要发生在口腔、腮腺、鼻咽部、扁桃体和颈部淋巴结。在本病例之前,只有2015年Hutter曾报道首例颅内指状突树突细胞肉瘤,这例患者的症状本病例大致相同3。
该病例的影像学表现和脑膜瘤极为相似,如图1所示。该肿瘤基底较宽,位于左侧中央区大脑镰,未见明显脑膜尾征。综合CT和MR表现,影像科医生和临床医生在术前均认为这是一例普通的镰旁脑膜瘤,考虑血管瘤型。Gregor Hutter报道的大脑镰旁IDCS,该病例在MR可见脑膜尾征且伴有瘤内出血,肿瘤大小约7×5× 6 cm大小。那病例在术前亦出现误诊,考虑出血性脑膜瘤、转移瘤或血管外皮细胞瘤。
手术切除是治疗该肿瘤的主要治疗方法。本病例患者术后2年未见肿瘤复发,生存期有待进一步随访。Caner Saygin分析发现全身的指状突树突细胞肉瘤发生转移时中位生存期只有8个月。而无发生转移的患者中位生存期无法统计(大部分发表文献前随访时,约82%的患者仍在世),但是1年和2年生存率分别达到84.8% 和68.1%2。目前没有足够的证据表明辅助治疗包括(化疗和放疗)能够延长该类患者的生存期,这可能是病例罕见且散在发生,没有足够的治疗共识所致1。
病理和电镜检查是诊断该病的金标准。本病例HE染色提示弥漫增生的肿瘤细胞,为卵圆形或短梭形细胞构成,细胞呈螺旋状排列细胞具有异型性,可见见少量核分裂像,未见坏死间质内见多灶性的淋巴细胞浸润。从形态学上与脑膜瘤具有很大的大差异。免疫组化结果:CD163、CD68、S-100均弥漫(+)、EMA灶性弱(+),PR个别(+)、Ki-67 15%(+)。参照其他文献,IDCS相对特异性的免疫组化阳性指标包括CD68、S-100、Ki-67和vimentin。由于该病罕见且无明显特异性免疫组化标记物,主要依靠病理科医生筛查大量免疫组化并结合电镜检查进行排他性诊断,对病理科医生的要求比较高。
过去认为,中枢神经系统内不存在免疫细胞,而血脑屏障又把它和外周免疫系统分开。但是随着研究的深入和监测手段越来越丰富,很多证据表明脑内存在免疫细胞。也就是说中枢神经系统并不是完全的免疫豁免器官,而是相对免疫豁免的器官。一般认为,血脑屏障被破坏后才会有大量的免疫细胞进入中枢神经细胞,但是该患者既往并无脑部疾病史,不存在血脑屏障被破坏一说。Clarkson BD研究表明正常的脑膜和脉络丛存在树突状细胞14。 本病例进一步证明了中枢神经系统内是存在树突状细胞的。
总结
本病种在国内属于首次报道,因为极为罕见,故而容易出现误诊。有赖于临床医生、影像科医生和病理科医生共同提高业务水平,减少误诊率,为这类患者提供更为完善的治疗方案。该患者于2017年12接受肿瘤全切手术,术后无特殊,随访2年未见肿瘤复发。

图1

图2
1.Muhammed A, Ahmed ARH, Maysa H, Mohamed AES, Abd-ElLateef AA-E, Elnakib E. New insights inside the interdigitating dendritic cell sarcoma-pooled analysis and review of literature. Ann Hematol. 2019;98(12):2641-51.
2.Saygin C, Uzunaslan D, Ozguroglu M, Senocak M, Tuzuner N. Dendritic cell sarcoma: a pooled analysis including 462 cases with presentation of our case series. Crit Rev Oncol Hematol. 2013;88(2):253-71.
3.Hutter G, Kothbauer KF, Tzankov A, Hofer S. Intracranial Interdigitating Dendritic Cell Sarcoma. Neurosurgery. 2015;77(6):E979-E83.
4.Radović S, Dorić M, Zujo H, Hukić A, Kuskunović S, Babić M, et al. Interdigitating dendritic cell sarcoma of the liver and lung: a case report with morphohological and immunohistochemical features of tumor. Bosn J Basic Med Sci. 2012;12(3):203-6.
5.Daum GS, Liepman M, Woda BA. Dendritic cell phenotype in localized malignant histiocytosis of the small intestine. Arch Pathol Lab Med. 1985;109(7):647-50.
6.Miettinen M, Fletcher CD, Lasota J. True histiocytic lymphoma of small intestine. Analysis of two S-100 protein-positive cases with features of interdigitating reticulum cell sarcoma. Am J Clin Pathol. 1993;100(3):285-92.
7.Han H-S, Lee O-J, Lim S-n, An JY, Lee KM, Choe KH, et al. Extranodal interdigitating dendritic cell sarcoma presenting in the pleura: a case report. J Korean Med Sci. 2011;26(2):304-7.
8.Kawachi K, Nakatani Y, Inayama Y, Kawano N, Toda N, Misugi K. Interdigitating dendritic cell sarcoma of the spleen: report of a case with a review of the literature. Am J Surg Pathol. 2002;26(4):530-7.
9.Kyogoku C, Seki M, Ogawa S, Miyamoto K, Ito Y, Kurita N, et al. Complete Remission in Systemic Skin Interdigitating Dendritic Cell Sarcoma after ABVD Chemotherapy. J Clin Exp Hematop. 2015;55(1):33-7.
10.Lee EJ, Hyun DW, Cho HJ, Lee JG. A rare case of interdigitating dendritic cell sarcoma in the nasal cavity. Case Rep Otolaryngol. 2013;2013:913157.
11.Adam Z, Pour L, Veselý K, Krejcí M, Fakan F, Hofstädter F, et al. Interdigitating dendritic cell sarcoma of the leg. Onkologie. 2009;32(6):364-5.
12.Luk IS, Shek TW, Tang VW, Ng WF. Interdigitating dendritic cell tumor of the testis: a novel testicular spindle cell neoplasm. Am J Surg Pathol. 1999;23(9):1141-8.
13.Lupato V, Romeo S, Franchi A, Mantovani M, Dei Tos AP, Tirelli G, et al. Head and Neck Extranodal Interdigitating Dendritic Cell Sarcoma: Case Report and Review of the Literature. Head and Neck Pathology. 2015;10(2):145-51.
14.Clarkson BD, Heninger E, Harris MG, Lee J, Sandor M, Fabry Z. Innate-adaptive crosstalk: how dendritic cells shape immune responses in the CNS. Adv Exp Med Biol. 2012;946:309-33.

下一篇:“以爱为舟,以心为灯”
Copyright 2006-2026 广东三九脑科医院版权所有 粤ICP备11100995号 服务性质:非营利性网站 粤卫网审(2013)10号
粤公网安备 44011102002143号