http://www.999brain.com 时间:2017-08-09 编辑:xzd 阅读:45795
患儿,男,2岁,因“突发恶心、呕吐伴行走不稳10天,头痛呕吐伴走路不能一月”入院。查体:神清,颈软,双眼睑无下垂,眼球无突出、内陷,双侧眼球各方向运动不受限,无眼球震颤,双侧瞳孔等大等圆,直接对光反射灵敏,直径约3mm,调节、辐辏反射存在。角膜反射灵敏。四肢肌张力适中,肢体肌力检查不合作。
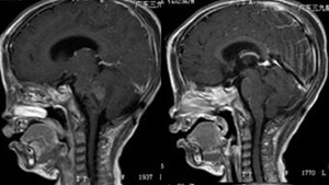
入院诊断:髓母细胞瘤。
入院后完善术前检查,排除手术禁忌症后,小儿神经外科专家团队为患儿进行“左侧乙状窦后入路桥小脑角占位性病变切除术”,术中见肿瘤血供丰富,最后在电生理监测技术辅助下,显微镜下全切除肿瘤。术后患儿症状立即好转并观察不到有任何后遗症。病理诊断:髓母细胞瘤 WHO IV级。

▲术前

▲术后
小儿神经外三科杨宝应主任表示,髓母细胞瘤是一种儿童后颅窝恶性肿瘤,是颅内恶性程度最高的肿瘤之一。其高度恶性表现在三个方面:①生长极其迅速;②手术不易全部切除;③肿瘤细胞有沿脑脊液产生播散性种植的倾向。主要发生于14岁以下的儿童,少数见于20岁以上者。
病程往往较短,多数在1个月内,早期症状缺乏特异性,常因反复呕吐而就诊消化科。常见的症状还有:头痛、步态不稳、后期还可出现复视、视力减退、颈强直等表现。
手术是髓母细胞瘤最主要的治疗手段,手术的主要目标是解除导水管梗阻 , 恢复脑脊液通路;最大限度切除肿瘤(最小程度影响脑干的解剖生理功能)。术后对残余肿瘤或者瘤腔给以放、化疗,其疗效十分确切,因此,放化疗也是髓母细胞瘤的重要治疗手段。

Copyright 2006-2026 广东三九脑科医院版权所有 粤ICP备11100995号 服务性质:非营利性网站 粤卫网审(2013)10号
粤公网安备 44011102002143号