http://www.999brain.com 时间:2011-06-14 来源:综合神经外科 编辑:谢莉 阅读:99380
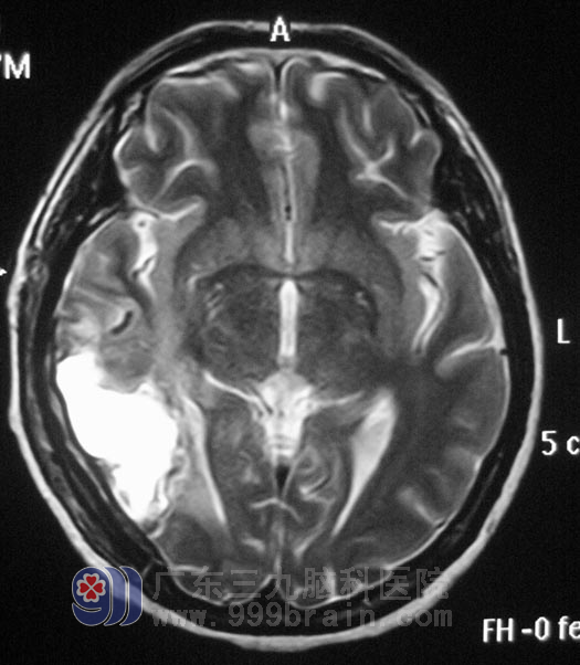
杨老师在一所小学教音乐,5月6日晚上10点左右,突然出现头晕、头痛伴恶心,没有呕吐,双手紧握;当时神志清醒,休息后无好转,第二天在当地医院就诊,头、颈部CT发现:脑右侧颞叶出血,可见钙化,考虑动静脉畸形,由于当地的医疗技术设备有限,同时也不能排除有二次出血,立即转到了广东三九脑科医院综合神经外科。
行全脑血管造影检查,结果显示:右颞枕动静脉畸形,约3cm×4cm大小,畸形血管团有三条动脉供血,主要为右侧大脑中动脉分支的供血。经过反复讨论及仔细地斟酌,鲁明主任为杨老师制定下治疗方案:先行部分畸形血管栓塞,再根据栓塞后情况行开颅切除没有完全栓塞的畸形血管。

▲栓塞前

▲栓塞后
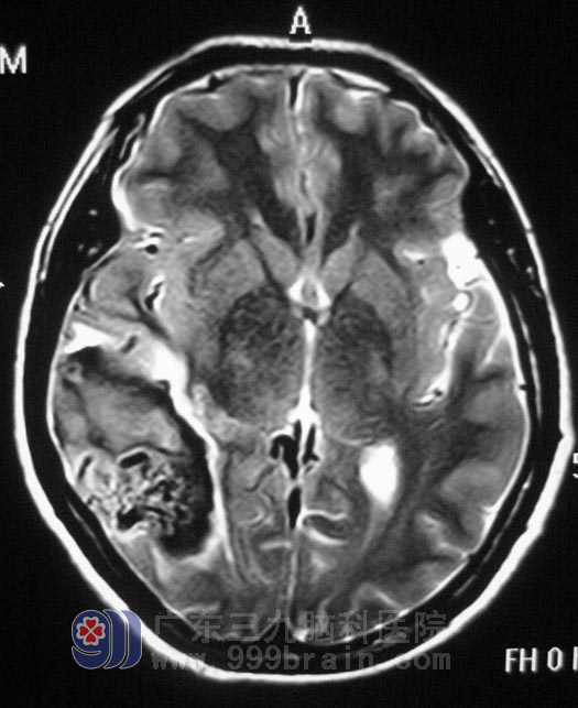
经过一段时间的治疗,5月27日,由鲁明主任主刀,在全麻下行右侧颞枕动静脉畸形切除术+血肿清除术,手术过程顺利。术后杨老师的肢体运动、言语功能以及视觉功能均没有影响,6月6日办理了出院手续。

▲手术后

▲手术前
【我要咨询】 13602473181
【了解更多】 综合神经外科
Copyright 2006-2026 广东三九脑科医院版权所有 粤ICP备11100995号 服务性质:非营利性网站 粤卫网审(2013)10号
粤公网安备 44011102002143号