http://www.999brain.com 时间:2016-11-23 来源:综合神经外科 编辑:XL 阅读:38561
隐匿性脑血管畸形是指脑血管造影不显示的先天性脑血管病变,包括血栓化动静脉畸形、海绵状血管畸形、静脉血管瘤、毛细血管扩张症及混合型或未分化型血管畸形等,大约占到所有血管畸形的1.9%~2.5%。其中以海绵状血管瘤最常见。
海绵状血管瘤是由众多薄壁血管组成的海绵状异常血管团,这些畸形血管紧密相贴,血管间没有或极少有脑实质组织,病灶直径从数毫米到数厘米不等,病灶的增大可能是病灶内反复少量出血及栓塞引起。由于病灶低流量低压,出血常局限在囊内,一旦出血突破囊壁,即引起明显症状。
【典型案例】
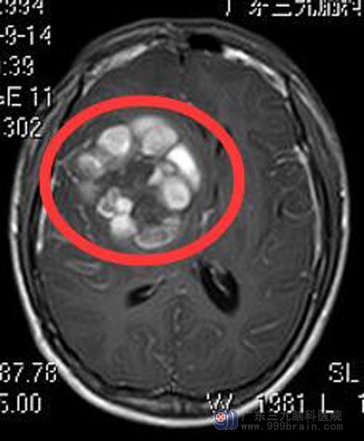
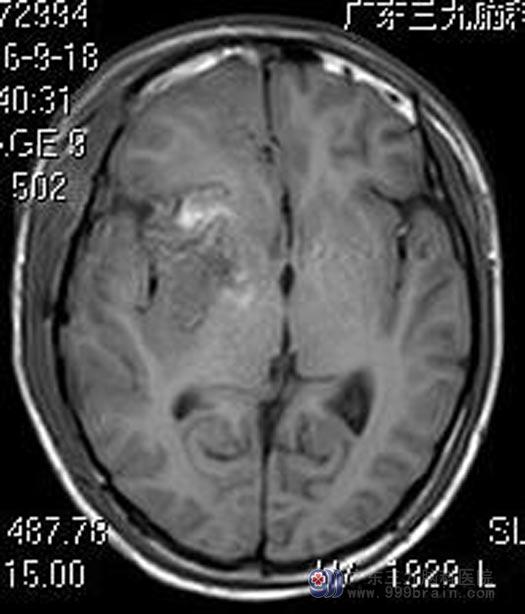
小杰今年18岁,一周前出现头痛,伴间断呕吐,当地医院头颅CT检查提示:右侧颞叶基底节区出血。广东三九脑科医院头颅MR检查提示:右侧基底节区为主占位性病变,结合SWI(磁敏感加权成像)检查考虑巨大海绵状血管瘤伴出血。

经综合神经外科鲁明主任详细讲解病情后,家属要求手术治疗。鲁明主任主刀,在全麻唤醒麻醉下行右侧额叶、基底节区巨大海绵状血管瘤切除术。术中唤醒病人,导航定位,见侧裂大脑中动脉分支,进入深度约3.0cm见黄色异常脑组织,造瘘见内含陈旧性暗红色血块,血块中夹杂灰色血管网状异常血管团,血供丰富,与周围脑组织间有一层淡黄色稀烂样组织,镜下全切除异常组织,患者语言、肢体功能正常。术后小杰康复很快,已满意出院。术后病理结果:海绵状血管瘤。


Copyright 2006-2026 广东三九脑科医院版权所有 粤ICP备11100995号 服务性质:非营利性网站 粤卫网审(2013)10号
粤公网安备 44011102002143号