出现“癫痫”发作的胶质瘤
发布时间: 2022年04月08日 出处:神经外十科 作者:覃金花 编辑:lsw 点击次数:7912
30岁叶女士,某天突然出现意识丧失、四肢抽搐,伴嘴角歪斜,口吐白沫的症状,家属急忙将她送到当地医院进行诊治,诊断为“癫痫”,控制发作后便出院了。
此后一年,叶女士未再出现上述症状,她及家人觉得已经治愈了,也就没再在意。但是万万没想到,两个月前,叶女士又出现了之前的症状,其家属急忙又将她送到医院,仍诊断为“癫痫”,并给予相关治疗。但此次的治疗效果达不到之前的那般,并且症状也愈发的严重。在当地医生的建议下,叶女士的家属将她带到广东三九脑科医院进行治疗。
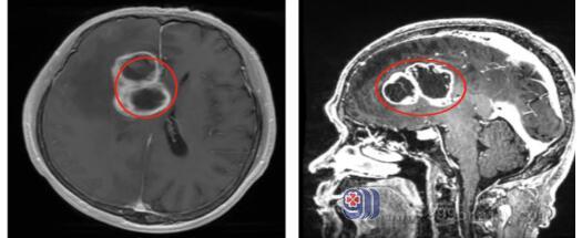
广东三九脑科医院神经外十科医生接诊后,为叶女士安排了头颅MRI检查,MRI结果显示:“右侧额顶叶巨大占位性病变及脑疝形成”。这时叶女士的病情已非常严重,神经外十科主任欧阳辉教授认为,患者颅内病变属于肿瘤性病变,怀疑是高级别胶质瘤;术前脑电图也考虑患者的癫痫是高级别胶质瘤所致,他指示医疗团队尽快进行手术切除肿瘤,降低颅内压,手术抢救叶女士。

完善术前准备后,神经外十科团队为叶女士紧急进行了“右侧额顶叶巨大高级别胶质瘤切除术+硬脑膜修补术+颅骨成形术”,术中采用导航定位右额-颞岛叶肿瘤组织,在高清显微镜下将肿瘤全切除。术中病理为冰冻结果为高级别胶质瘤。
术后,叶女士生命体征平稳,神志清醒,四肢活动自如,对答清晰,无癫痫发作,语言功能也正常。

【科普知识】
如同其他肿瘤一样,胶质瘤也是由于先天的遗传高危因素和环境的致癌因素相互作用所导致。一些已知的遗传疾病,例如神经纤维瘤病(I型)以及结核性硬化疾病等,为脑胶质瘤的遗传易感因素。有这些疾病的患者,其脑胶质瘤的发生机会要比普通人群高很多。此外,一些环境的致癌因素也可能与胶质瘤的发生相关。
脑胶质瘤所导致的症状和体征,主要取决其所在位置及占位效应所影响的脑区功能。胶质瘤由于其在空间的“占位”效应,可以使患者产生头痛、恶心及呕吐、癫痫、视物模糊等症状。此外,由于其对局部脑组织功能的影响,还可以使患者产生其他的症状。比如,视神经胶质瘤可以导致患者视觉的逐渐丧失;脊髓胶质瘤可以使患者产生肢体的疼痛、麻木以及肌力弱及瘫痪等症状;中央区胶质瘤可以引起患者运动与感觉的障碍;语言区胶质瘤可以引起患者语言表达和理解的困难。胶质瘤由于恶性程度不同,其所产生症状的速度也不同。例如,低级别胶质瘤患者的病史往往在几个月甚至数年,而高级别胶质瘤患者的病史往往在几个星期至几个月。根据患者的病史、症状以及体征,可以初步推断出病变的部位以及恶性程度,但最终的定位诊断主要靠CT和MRI。
手术是胶质瘤治疗的第一步。手术不仅可以提供最终的病理诊断材料,而且可以迅速去除绝大部分的肿瘤细胞,缓解患者症状,并为下一步的综合治疗提供便利。因此在出现上述症状时要及时的到医院进行检查,以便及时的进行手术治疗。



