润心科普丨发现颅内隐患10年未治疗,女子连走路都难……
发布时间: 2025年05月21日 出处:神经外十科 编辑:zym 点击次数:508
健康的生活,往往在不经意间就可能被疾病的阴影笼罩。有些疾病,初期就像隐匿在暗处的“潜伏者”,悄无声息,等到被察觉时,已给生活带来了明显的困扰。
10年前,当时48岁的王女士(化姓)在做甲状腺手术前检查时,意外发现颅内占位。因当时占位较小,且没有明显不适,便未进行特殊处理,此后也一直未复诊。平静的生活持续了10年,直到三个月前,头痛头晕的症状突然向王女士袭来,随之而来的还有走路不稳,她逐渐连日常行走都变得困难。王女士想起潜藏颅内10余年的隐患,决定前往当地医院就诊。果然,头MRI检查结果显示王女士的左侧小脑幕下有一大小约42mmx34mm的占位,考虑为脑膜瘤,医生建议手术治疗。为寻求进一步诊疗,王女士来到广东三九脑科医院神经外十科。

术前,神经外十科团队为患者完善头颅MR和CTA检查,进一步明确了病情。患者的后颅窝左侧枕部-左侧小脑幕下存在占位性病变,范围约40mm×30mm×37mm,考虑脑膜瘤可能性大,且局部与邻近左侧横窦关系密切,病变区还有少许血管影围绕及穿行,这给手术增加了不小的难度。

面对复杂的病情,神经外十科医疗团队进行了充分的术前讨论,制定了周全的手术方案。在一切准备就绪后,神经外十科团队成功为患者行肿瘤切除手术,术中在高清显微镜下全切了肿瘤。


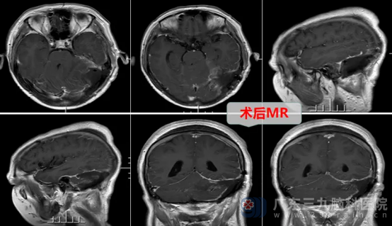
术后头颅MR显示,后颅窝左侧枕部-左侧小脑幕下病变已全切除。术后病理结果为形态学符合纤维型脑膜瘤,CNS WHO 1级。经过一段时间住院治疗后,王女士恢复良好,能够平稳走路,已经顺利出院。
健康科普知多点
欧阳辉教授介绍,脑膜瘤是常见的颅内肿瘤,多起源于脑膜及脑膜间隙衍生物。大部分脑膜瘤生长缓慢,早期可能没有明显症状,就像这位患者起初发现时并无不适。随着肿瘤增大,可能压迫周围脑组织,引发头痛、头晕、视力下降、行走不稳等症状。其病因目前尚未完全明确。
对于脑膜瘤,头MRI、CTA等影像学检查能帮助医生精准判断。治疗上,手术切除是主要方式,多数患者若能完整切除,预后良好。如果发现类似症状,一定要及时就医,早诊断早治疗,才能更好地保障健康。



