头部剧烈疼痛,原来是颅内囊肿作祟
发布时间: 2022年10月04日 作者:wsk 点击次数:747
对于年纪大的人来说,一次小小的感冒足够可以拖垮整个身体,何况是肿瘤,更何况是脑部“肿瘤”。
徐大爷今年60岁,一个月前没有任何征兆出现头部疼痛,每次持续几分钟,休息一下症状很快消失,他自以为是家里负担太重劳累引起,就没放在心上,日子一天天过去,之前是以前额部疼痛为主,现在直接蔓延至头顶部分,头痛剧烈时就像是一个紧箍套在头上,难以忍受,痛剧时还伴有呕吐,为了得到有效且权威的医院治疗,其家人想方设法联系了广东三九脑科医院的欧阳辉教授寻求帮助,欧阳辉通过简单的语音通话,决定让徐大爷来医院进行检查,于是徐大爷第二天从河南飞到了广州。
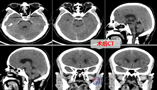
接诊的是三九脑科医院神经外十科主任欧阳辉教授, 通过仔细询问症状,除了呕吐、头痛,还有头晕、烦躁和紧张,查头颅MR示;鞍内囊性病变,考虑rathkes囊肿,听说得了脑“肿瘤”,徐大爷的心情就开始沉闷了,开始担心脑肿瘤手术会不会有风险,万一醒不来怎么办?徐大爷心情忐忑不安,欧阳辉主任耐心地解释说这是一种良性囊肿,过去切除这种病变都是需要开颅才能完成,脑部神经系统多且复杂,开颅手术风险大创伤也大,患者康复慢,还容易引起一系列的并发症 但是随着医学设备和医疗技术的猛迅发展,我科现在对Rathke囊肿大多采用在神经内镜下微创从单鼻孔经蝶切除囊肿,从而避免损伤正常脑组织,这种手术还具有患者恢复快、创伤小、更安全更经济等优势。在欧阳辉主任耐心且细致的解释后,徐大爷的顾虑慢慢的变的没那么多,不仅感叹道:从鼻孔就能摘除我脑子里的肿瘤?他将信将疑,同意了手术。
在完善相关检查后,因手术指针明确,在入院后的第3 天,外十科团队为徐大爷实施了神经内镜下经鼻蝶微创手术,短短2个小时完成手术,未发生并发症和后遗症,术后徐大爷头痛消失,恢复良好,也没有出现之前的紧张情绪,他的精神状态也一天比一天好。他现在相信了:经过鼻孔(脑部不开刀),也能切除颅内病变!





