突然癫痫发作竟是因为“它”
发布时间: 2023年08月16日 出处:外十科 作者:zmt 点击次数:584
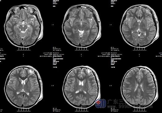
来自广东省湛江市廉江市的11岁的钟小朋友,半年前因为无明显诱因突发四肢抽搐,伴有意识障碍、牙关紧闭,持续数分钟后清醒,醒后不能回忆其发作经过。近半年来患者四肢抽搐发作三次,她的父母很是担心,曾带她到广州市妇女儿童医疗中心就诊,行头颅MR显示“左侧额叶占位,考虑胚胎发育不良性神经上皮肿瘤”,现患者及其家属为进一步检查及治疗遂来我院就诊。
入院后找到了我科的欧阳辉教授,欧阳辉教授和其主治医生看了该患儿的检查片子,为其父母解释道:她的左侧额叶有范围约17×19mm的结节占位病变,考虑低级别神经上皮肿瘤的可能,有明确的手术指征。外十科医生于8月15号为该患儿进行“左侧额叶占位病变切除术”,手术很顺利,病理报告:符合胚胎发育不良性神经上皮肿瘤(DNT)。现在患儿恢复良好,已经出院。

术前影像

术后影像

术后病理
专家提醒:胚胎发育不良性神经上皮肿瘤(DNT)及低级别胶质瘤均多以癲痫发病,故儿童癫痫患者需要定期到医院检查,观察病情,是否患儿有颅内肿瘤,是否是肿瘤导致的继发性癫痫,若发现有肿瘤迹象,则要尽快到医院进行祥细检查,及时切除脑肿瘤,以免后患。



