右眼视物模糊,26岁小伙脑中查出“鸽子蛋”肿瘤!
发布时间: 2026年01月07日 出处:神经外十科 编辑:罗雄杰 点击次数:397
视力突然模糊,竟是大脑发出的警报
今年26岁的佛山小伙陈强(化名),原本拥有清晰明亮的视力。然而就在一个月前,他发现自己的右眼出了问题——正中央的视野像蒙上了一层薄雾,看什么都模模糊糊。奇怪的是,左眼完全正常,身体也没有任何不适。
陈强立刻到当地眼科就诊,但检查结果却显示眼部结构未见明显异常。这个结果让陈强和家人都深感困惑。在医生的建议下,陈强接受了颅脑磁共振检查,影像报告提示右侧额部存在占位性病变。
这个突如其来的诊断让这个年轻的家庭陷入了焦虑。在多方咨询后,为寻求进一步诊疗,陈强来到广东三九脑科医院神经外十科。
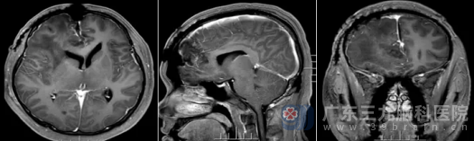
我院影像检查提示,在患者右侧额部大脑镰旁,一个大小约47mm×40mm×44mm的肿瘤清晰可见,堪比一个鸽子蛋。
“肿瘤的位置非常关键,”神经外十科欧阳辉教授解释道,肿瘤正好压迫到与视觉息息相关的右侧视神经,这是导致右眼中心视力模糊的直接原因。
肿瘤位置险要,手术成功“摘瘤”
神经外十科团队组织了多学科讨论,从影像特征看,虽然首先考虑常见的脑膜瘤,但也需要警惕孤立性纤维性肿瘤等其他可能。无论病理类型如何,这个位置的肿瘤都如同“不定时炸弹”,必须尽快手术。

术前影像
神经外十科团队通过显微外科技术,小心翼翼地分离肿瘤与正常脑组织的边界。术中发现肿瘤与大脑镰及重要静脉窦关系密切,血供丰富,每一步操作都要求极高的精准度。手术持续了7个小时,肿瘤被完整切除,并且保护了脑组织和视神经。
术后复查MR证实:原病变已完全切除。更令人欣慰的是,术后病理诊断为孤立性纤维性肿瘤(CNS WHO 1级)——这是一种预后较好的低级别肿瘤。

术后复查影像

病理结果
术后,陈强恢复顺利。出院时,他已神志清醒,右眼视力较术前明显好转,四肢活动自如。不仅摆脱了肿瘤的威胁,更保住了宝贵的视力功能。
健康科普知多点
专家提醒:别忽视异常信号
欧阳辉教授介绍,孤立性纤维性肿瘤虽属罕见,但其以视力下降为首发症状的情况并不少见,常易被误诊为眼部疾病。他提醒道,如果出现不明原因的视力下降、视野缺损、持续头痛、肢体无力等症状,且专科检查未发现明确病因时,应警惕颅内病变的可能,及时进行颅脑影像学检查。早发现、早诊断、早治疗是关键。



