成人突发癫痫警惕颅内肿瘤
发布时间: 2019年02月18日 出处:综合神经外科 编辑:XL 点击次数:44636
癫痫发作可以在各个年龄段 ,成人癫痫多是继发性癫痫,如果不是因为严重脑外伤引起,就有较大可能是脑瘤引起。很多脑瘤首发症状为癫痫,并且有些在早期就只有癫痫症状。突发性癫痫很容易将脑瘤这个致病因素掩盖,如果是只治疗癫痫,不能发现脑瘤这个病因,导致抗癫痫药治疗效果不佳,不能很好控制癫痫发作。
脑肿瘤之所以会引发癫痫,是因为大脑组织受到肿瘤的压迫发生水肿后,会产生缺氧和供血不足。发展到最后,大脑组织会出现萎缩和硬化,脑神经细胞处于高敏状态,容易受到外界刺激,导致突然发生癫痫症状。
成年人突发癫痫切勿轻视,应及早到正规医院排查,千万不能图暂时缓解仅服用抗癫痫药,以免耽误治疗时机。
朱女士二年前突发四肢抽搐,伴有意识障碍,持续时间约10分钟,以后每年都会发作二次,在当地诊所就诊,给予对症治疗,并未进一步检查。
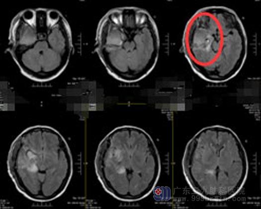
前段时间,朱女士再次出现四肢抽搐,当地医院头颅MR检查提示“右侧颞叶病变”。 入住广东三九脑科医院综合神经外科,结合患者症状、体征、头颅MR检查,诊断“右侧颞叶病变”考虑胶质瘤,且肿瘤体积较大,周围脑组织水肿明显,有手术指征,肿瘤位于颞叶,累及脑功能区,为最大程度降低脑损伤,预防术后后遗症,采用唤醒麻醉下肿瘤切除术,导航定位右侧颞岛叶肿瘤位置,见皮层下肿瘤呈胶冻状,血供一般,在显微镜下分块切除。
术后朱女士恢复良好,未出现脑功能区后遗症,也没有出现癫痫发作。

手术前

手术后

