脸麻
发布时间: 2019年04月03日 出处:综合神经外科 编辑:XL 点击次数:42441
47岁的赵先生一年前出现左边脸麻木,多次在医院就诊,没有查出原因,对症处理了一段时间,但是效果不尽人意。
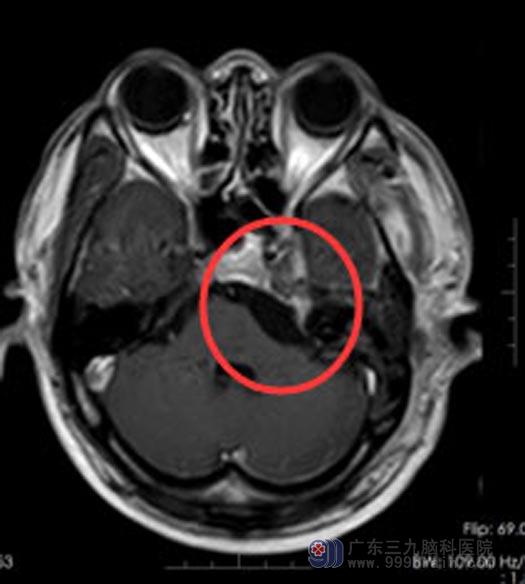
一个月前,症状变得越来越重,不但发作频繁还出现了头晕。后来,听朋友介绍,赵先生来到了广东三九脑科医院综合神经外科。MR结果示:左侧鞍旁至左侧桥小脑角区囊实性占位性病变,考虑三叉神经鞘瘤。

三叉神经鞘瘤最常见的症状是同侧面部感觉障碍,通常为麻木,也可有疼痛或感觉异常;少数为疼痛发病但晚期麻木,瘤体逐渐长大,向鞍旁海绵窦发展,引起眼球运动障碍,也可延至上斜坡挤压脑干,引起对侧肢体长束损伤征症(痉挛性瘫痪),还可骑跨岩尖,甚至向后颅窝发展造成听神经受累,表现为耳鸣或听力减退。
三叉神经起源于脑干,跨越多个颅底孔道,分布范围深在,周围毗邻脑干、海绵窦、颈内动脉及多条颅神经。体积较大的三叉神经鞘瘤,手术很具有挑战性。
在充分的术前准备后,由鲁明副院长为赵先生实施“左侧跨中后颅窝三叉神经鞘瘤切除术”。术中见肿瘤有完整的包膜,丰富的血运,和三叉神经粘连,显微镜下充分保护血管与神经,完整切除了肿瘤。


