经鼻蝶神经内镜下全切颅咽管瘤
发布时间: 2019年04月09日 出处:综合神经外科 编辑:XL 点击次数:37889
颅咽管瘤是颅内最常见的先天性肿瘤,由于位置较深且毗邻重要结构,手术复杂且困难,在神经外科手术技术上,被称为皇冠上的明珠。常用的开颅手术方式创伤大,需要分离正常脑组织或切开正常脑组织才能达到肿瘤,手术时间长,风险大,术后并发症多。由于手术困难和围手术期的高风险,所以颅咽管瘤手术全切除率低。
神经内镜可以深入到肿瘤内部,能提供手术区域清晰的全景图像,解剖结构暴露清楚,可全方位清晰显示肿瘤与周围的重要结构,因此可最大限度地切除肿瘤并降低对正常神经血管的损伤可能,整个瘤腔内部的组织可以得到比较干净的切除,大大减少肿瘤组织残留,也降低了复发几率。
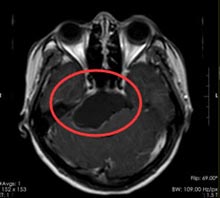
26岁的周女士,20天前出现头晕头痛症状,呈陈发性,休息也缓解不了,有加重趋势,到当地医院检查头颅MR,显示:鞍区巨大占位,考虑颅咽管瘤可能。

在广东三九脑科医院综合神经外科,经鼻蝶鞍神经内镜下行颅咽管瘤切除术,术程顺利,肿瘤全部切除。

术后患周女士视力没有任何影响,术后第二天便可坐起,并正常饮食,内分泌功能没有影响。

