眼睛看不见,鼻子在捣乱
发布时间: 2019年04月29日 出处:综合神经外科 编辑:XL 点击次数:37359
32年前,吕阿姨出现双眼视力下降并进行性加重,无头痛头晕。当地医院就诊,没有进行相关的检查及治疗,她自己认为眼睛是近视了,便自行佩戴了眼镜。
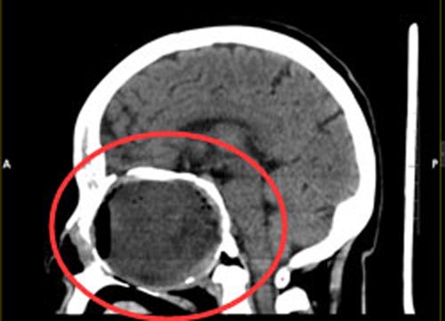
几十年间,视力由模糊不清变成了仅有光感,吕阿姨也一直没有再去医院。3年前她开始出现嗅觉丧失,近1个月来出现头痛,伴有鼻腔流液,吕阿姨和家人意识到病情严重了。当地医院头颅CT检查提示:“筛窦-蝶窦巨大囊肿”,广东三九脑科医院进一步头部MR检查显示:前颅底及筛窦-蝶窦-鼻咽部巨大占位病变,待排骨来源病变,骨化性纤维瘤可能,待排软骨来源肿瘤。

综合神经外科鲁明副院长了解病情后认为:患者前颅窝底及鼻腔巨大占位,考虑骨源性肿瘤;无手术禁忌症,家属同意行手术治疗。完善相关术前检查后,在全麻下“经右侧前颅窝额底硬膜外及鼻蝶联合入路前颅窝底及鼻腔巨大胆脂瘤切除术+颅底重建术+颅骨成形术”,手术顺利。术后,吕阿姨的双眼视力明显改善。

外观上看,眼睛和鼻子的距离很近,头颅内部结构中,鼻子和眼睛的关系更是密切,鼻子上连颅脑,外连眼睛,鼻子和眼睛仅仅隔了一块薄如纸片的骨头,称它为纸样板。当鼻腔里有病变,或者鼻子发生外伤,就会导致纸样板向眶内压迫。如果压迫了眼睛的神经、肌肉,则会引起视力的减退以及看东西有重影,严重的可导致失明。
其次,鼻窦是人颅底的一些含气的空腔,左右成对围绕在鼻腔周围,自前向后分别是额窦、上颌窦、筛窦、蝶窦。额窦位于眼眶的上方,上颌窦位于眼眶的下方,筛窦的外侧壁就是眼眶的内侧壁,视神经向后走行在蝶窦的后外上方。鼻窦的炎症、外伤、肿瘤等病变都可能侵袭到眼眶及视神经,导致眼球突出、复视、视力下降甚至失明。
无明显诱因出现视力改变时,在排除了眼部病变后,还需要考虑会不会是它的“邻居”鼻子在捣乱。

