血管缝隙里的颞岛叶胶质瘤
发布时间: 2018年06月21日 出处:综合神经外科 编辑:XL 点击次数:44938
岛叶是所有大脑脑叶中唯一隐藏在脑组织内部的高度发达的脑结构,被表面的额颞顶叶构成的岛盖和大脑中动脉主干和分支构成的血管墙所包绕。
岛叶胶质瘤属于脑深部的肿瘤,以低级别为主,由于不在大脑表面,而且有大脑中动脉及其分支走行其表面,手术难度非常大,因其解剖的特殊性,要想多切一些,就必须在血管缝隙里一点一点地把肿瘤掏出来。虽然可以使用包括唤醒麻醉、术中超声、神经导航,诱发电位和皮质电刺激等先进的辅助技术和技巧,岛叶胶质瘤的切除对于神经外科医师仍然是一个不小的考验。
一个月前,正在工厂上班的小艺突然出现阵发性的头痛头晕,一开始可以忍受,以为自己是刚新婚,上班又太劳累引起;丈夫听说后也没有过多的在意,直到一周以后头痛头晕逐渐加重,变得难以忍受。当地医院就诊,查头颅CT示“右侧颞岛叶占位,胶质瘤可能”。小两口感觉从幸福的顶端瞬间跌入绝望的深渊。
经朋友介绍,他们来到广东三九脑科医院,在综合神经外科,小艺觉得有人从悬崖上拉了自己一把,看到了新生的希望。
深入的检查、讨论、研究后,鲁明主任主刀唤醒麻醉下行右侧颞岛叶胶质瘤切除术。术前根据导航定位肿瘤,术中唤醒病人,利用荧光造影,在显微镜下切除肿瘤。手术中小艺的肢体、语言活动良好,手术过程顺利。术后小艺神志清醒,肢体活动良好,正积极接受术后治疗,待进一步康复出院。

术前MR

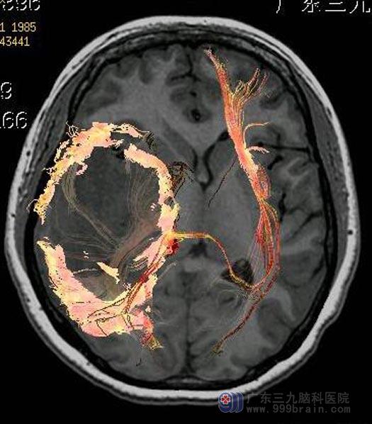
术前DTI

术后
