脑肿瘤让她“飘飘然”
发布时间: 2018年07月03日 出处:综合神经外科 编辑:XL 点击次数:33665
46岁的惠姨是一位精力旺盛的家庭主妇,每天除了为家人准备一日三餐,还热爱运动,身体没发现有啥毛病。
一次在准备午饭时,突然头痛得像要炸开,头晕难忍,感觉天旋地转无法站稳;休息后,头痛头晕症状有所缓解。之后一直反反复复地发作,走路不稳, 容易摔跤。
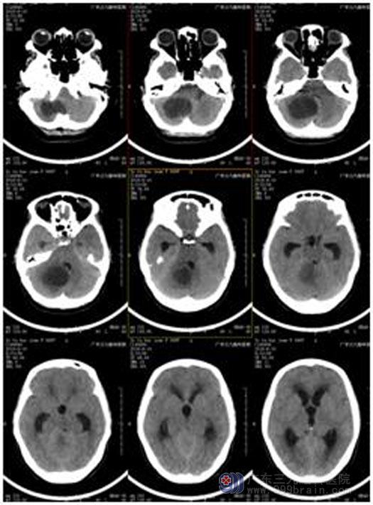
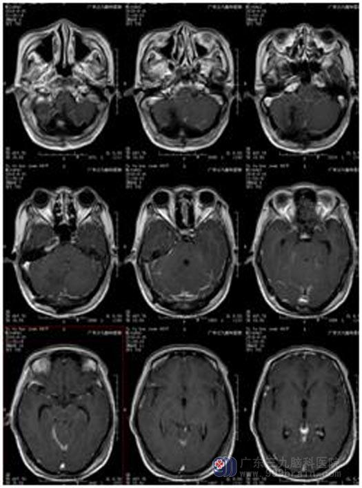
为找出原因,家人带着惠姨来到广东三九脑科医院综合神经外科。CT检查结果显示:右侧小脑半球存在5.5cm×3.6cm×3.0占位性病变,小脑扁桃体下疝形成,幕上梗阻性脑积水,初步诊断1.右侧小脑半球囊实质性病变:考虑血管母细胞瘤,2.脑积水。

鲁明主任告诉他们:小脑扁桃体下疝患者常常会出现眩晕,耳鸣复视,走路不稳及肌无力,一旦明确诊断,并且情况严重,应尽快手术治疗。完善各项检查,由鲁明主任主刀在全麻下行右侧小脑占位切除术。手术过程顺利,肿瘤完整切除。术后惠姨神志清醒,正在进一步的康复治疗中。

