单侧听力下降有玄机
发布时间: 2018年07月04日 出处:综合神经外科 编辑:XL 点击次数:33851
40多岁的陈先生,两年前开始左侧耳朵听不清别人讲话,在医院耳鼻喉科检查,发现没有异常。
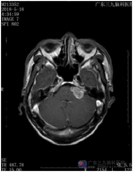
几个月前出现头晕,以为自己长时间低头工作,颈椎有问题,在医院多次针灸、按摩等治疗。直到一次晕倒后,被送去当地医院行CT检查,才发现是“左侧桥小脑角占位”。广东三九脑科医院进一步头颅MRI检查,提示:左侧桥小脑角区占位性病变,考虑听神经鞘瘤可能性大,病灶大小约2.6cm×2.7cm×2.3cm。

综合神经外科鲁明主任告诉陈先生,听神经瘤是颅内神经肿瘤中常见的一种良性肿瘤,多见于成人,高峰在30~50岁,该病往往以单侧听力下降为首发症状,一旦确诊,应尽早手术治疗,避免出现难以恢复的听力下降,甚至耳聋;手术治疗,可以完全切除、彻底治愈。
陈先生同意手术治疗,由鲁明主任主刀,在全麻下取乙状窦后入路,确定肿瘤位置,显微镜下分块将肿瘤全切,中后组颅神经保留完整,术程顺利,术后恢复很快,已满意出院。

