唤醒手术切除脑功能区复发胶质瘤
发布时间: 2018年08月02日 出处:综合神经外科 编辑:XL 点击次数:38531
张女士11月在当地医院诊断为额顶叶胶质瘤,行“右侧顶叶胶质瘤切除术”,并进行了放化疗。
半年后头痛进行性加重,自行多次大剂量输注脱水药物降颅压缓解头痛症状,头痛逐渐难以控制;医院复查显示右侧顶叶病变,考虑胶质瘤复发。
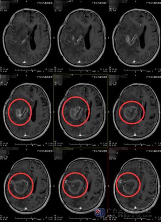
广东三九脑科医院进一步MR检查提示:右侧顶叶胶质瘤外院术后放化疗后,右侧额顶部呈术后改变,右侧额叶术区示片状长T1长T2异常信号影,FLAIR序列呈不均匀等、稍高信号,增强后呈明显花环状异常强化影,范围约为6.4cm×5.2cm×5.5cm,序列呈高信号,累计右侧丘脑及脑干偏右侧。右侧大脑镰下疝形成。
由于肿瘤位于额顶颞叶,额叶的功能与躯体运动、发音、语言及高级思维活动有关,顶叶与躯体感觉、味觉、语言有关,颞叶与听觉、语言和记忆功能有关,患者仅48岁,肿瘤切除后张女士很可能会失语、偏瘫。
综合考虑肿瘤位置、大小、侵入因素及患者之后的语言运动功能,详细讨论病情后,决定在麻醉唤醒下行胶质瘤二次切除术,术前导航定位肿瘤范围,术中给予唤醒麻醉,电生理监测,电刺激定位语言、运动功能区,定位肿瘤区域,避开功能区,顺利切除肿瘤。张女士术后头痛缓解,语言功能完好,可自行活动。

手术前

手术后
