成功全切第三次复发的间变性室管膜瘤
发布时间: 2014年12月09日 出处:综合神经外科 编辑:谢莉 点击次数:63802
广东三九脑科医院综合神经外科近日联合术前放疗成功全切第三次复发四脑室间变性室管膜瘤全切一例,充分展示了我院诊治脑肿瘤的综合实力。
患者女性,49岁,因“四脑室室管膜瘤二次手术后2年,头晕、呕吐2月”于2014年10月17日 ,11月4日出院,共住院18天。
黄姨,2007年10月出现剧烈头痛、恶心呕吐,当地医院头颅检查考虑四脑室占位,在省内一大型医院神经外科行手术切除治疗,术后病理为:“四脑室室管膜瘤”;术后予伽马刀治疗,放疗后规律复查。
2012年10月她再次出现头晕、恶心,当地行影像检查考虑:“四脑室室管膜瘤复发”。2013年2月回原手术医院再次手术切除肿瘤,术后病理提示“第四脑室间变性室管膜瘤 WHO III级”,术后未行辅助放化疗出院。2月前又一次出现头晕,并进行性加重,逐渐行走不稳,闭目难立。当地医院影像检查提示四脑室巨大占位,给予对症治疗。治疗后头晕、呕吐症状缓解。
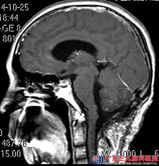
广东三九脑科医院头颅MR检查提示:四脑室内及右侧侧孔区桥小脑区团片状异常信号,大小约48.8 mm×37.2 mm×50.6mm,肿瘤与脑干粘连。
综合神经外科鲁明主任考虑黄姨的肿瘤复发诊断明确,既往行2次手术及伽马刀治疗,肿瘤第三次复发,术中若强行分离肿瘤与脑干的粘连,可能导致严重并发症;若行术前放疗,减轻肿瘤对脑干粘连,增加肿瘤全切除可能;但另一方面肿瘤位于后颅窝,占位效应明显,行放疗后可导致肿瘤反应性增殖及放射性水肿,导致压迫加重,最严重可能会出现枕骨大孔疝导致呼吸、心跳骤停。权衡利弊后,决定术前短程放疗,同时予激素、甘露醇等脱水治疗。
10月22日放疗后急诊行四脑室、右侧桥小脑角后颅窝复发室管膜瘤切除术,术中显微镜下暴露四脑室底部,显露肿瘤呈灰白色,质地较软,边界尚清,镜下全切除肿瘤,并完整保护舌咽神经及迷走神经,手术顺利,术后曾出现一过性声音嘶哑,经治疗未出现面瘫、后组颅神经损害等并发症,康复出院。术后病理结果:间变性室管膜瘤 WHO II级。
手术前

手术后
