突然出现的剧烈头痛
发布时间: 2015年06月12日 出处:综合神经外科 编辑:谢莉 点击次数:50812
从去年开始,黄女士开始出现间断的轻微头痛,也没有逐渐加重,由于不影响日常的工作和生活,她也就没有对此引起重视。
可三天前,黄女士突然出现剧烈的头痛,以双侧颞部为主,并伴有恶心等不适症状,立即在当地医院就诊,头颅CT检查提示颅内占位性病变。
自己竟然得了脑肿瘤?黄女士对此半信半疑。
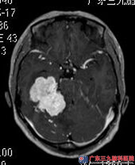
入住广东三九脑科医院综合神经外科后,复查头颅MRI提示:右侧中后颅窝跨小脑幕示一不规则团块状高信号为主占位性病变,大小约51.1mm×41.5mm×45.2mm,考虑脑膜瘤可能性大。
完善各项检查后,由鲁明主任主刀,在全麻下行右侧中后颅窝占位切除术,术中显微镜下见肿瘤质软,呈灰白色,血供丰富,超声吸引器瘤内切除部分肿瘤,肿瘤沿岩骨向后长入后颅窝,可见肿瘤内侧滑车神经、小脑幕,电磁刀切开并切除小脑幕约1cm,见颞骨岩部、斜坡肿瘤组织,肿瘤与周围关系紧密,牵拉抬起肿瘤,向下见肿瘤与滑车、三叉神经及后组神经上缘粘连,分离后予以切除。手术顺利,术后黄女士未出现神经损害症状,现已康复出院。术后病理结果:血管周细胞瘤(相当于WHO II 级)。

▲手术前
手术前
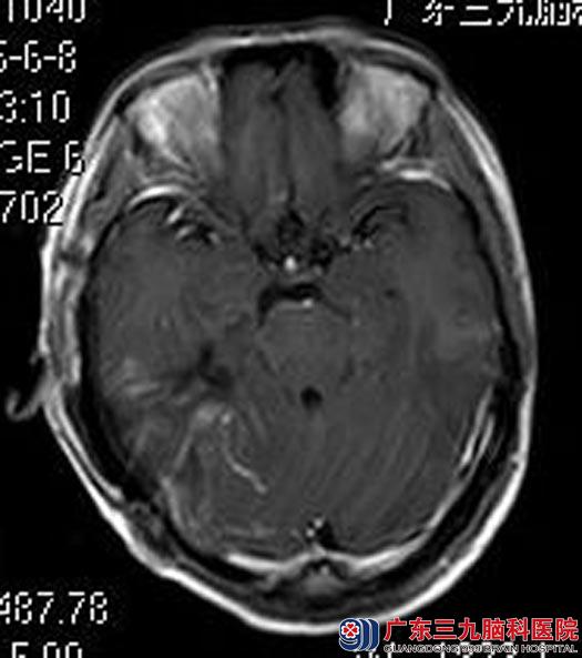
▲手术后
