儿子厌学,母亲愧疚
发布时间: 2021年01月14日 出处:神经外五科 作者:莫冰梅 编辑:XL 点击次数:26849
11岁的成成是一名在校学生,成绩一直不错。可从去年开始,老师告诉成成妈妈:孩子以头晕为理由经常逃课。妈妈带着他去附近医院做过检查,也没发现有什么问题。妈妈认为儿子是厌学、青春期的孩子难以管教。
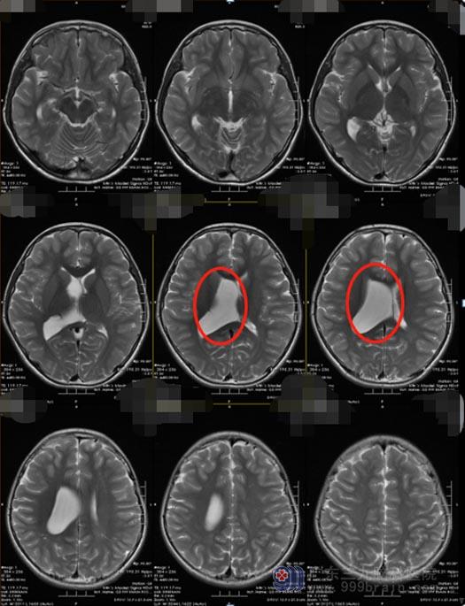
随着时间的推移,成成诉说头晕头痛的次数越来越多,特别是近2个月,由开始的每周一两次到后来的一天好几次,时常还伴有呕吐,妈妈这才警觉起来,再次带儿子到当地医院就诊,头颅MR检查提示:右侧侧脑室内囊状灶,考虑蛛网膜囊肿。
妈妈一下子慌了神,她觉得非常愧疚,自己错怪儿子了。她决定这次一定要带着孩子去更加专业的医院仔细看看。在广东三九脑科医院进行了相关的专科检查后,医院副院长、神经外五科主任鲁明告诉成成妈妈:小成脑室内囊状灶不是蛛网膜囊肿,而是较为罕见的神经上皮囊肿。

神经上皮囊肿是来源于原始神经上皮的中枢神经系统囊肿,典型的神经上皮囊肿主要包括:室管膜囊肿、脉络丛囊肿、脉络膜裂囊肿,其症状表现等与蛛网膜囊肿较为相似,临床上容易造成误诊。神经上皮囊肿是发生在大脑中的良性肿瘤,生长缓慢,可引起头痛和头晕,出现了临床症状,就需要积极治疗,以防止囊肿进一步生长和损伤脑神经组织。手术治疗是本病的唯一方法,争取手术完全切除,目的是切除囊肿的囊壁和内容物。
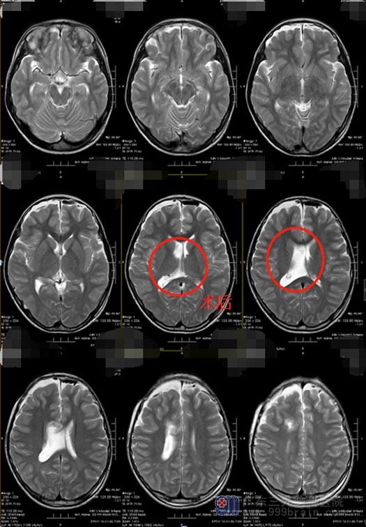
成成的手术指征明确,其囊肿充斥了整个右侧侧脑室,开颅手术易引起出血,创伤也较大,若没有完全切除,术后容易复发;选择内镜辅助下进行囊肿切除术,不但创伤小,并且效果也较好。在制定了严密的手术方案之后,成成顺利完成了“神经内镜辅助下右侧侧脑室病变切除术”,囊肿被完全切除。术后,成成恢复良好,头晕、头痛症状消失。



