你问我答听神经瘤
发布时间: 2011年11月10日 出处:综合神经外科 编辑:谢莉 点击次数:117886
一、什么是听神经瘤?
听神经瘤是一种生长在听神经上的良性肿瘤,起源于听神经上的鞘膜上,又称听神经鞘瘤,多发生于40岁左右的成人。
二、听神经瘤有什么表现?http://www.999brain.com/
90%以上早期症状只有单耳重听或耳鸣;约30%伴有晕眩,大都轻微;与梅尼尔氏症、突发性耳聋部分症状类似易混淆;重听的特性是语言辨识度变很差;单侧脸歪、眼张不开的颜面神经麻痹现象很少见;若有脸麻木感或痛感,表示已压迫到三叉神经,此时肿瘤通常已出现两年以上,需引起重视。晚期听神经瘤会压迫到脑干生命中枢,可能致死。
三、听神经瘤应该如何治疗?
听神经瘤多数是良性肿瘤,如果早期发现能完全切除,预后效果良好。一经确诊,手术是首选的治疗方法,临床上由于听神经瘤与脑干毗邻,手术较为复杂。早期发现后可以利用显微手术摘除听神经瘤以保留听力,如果发现太晚,对听力的保护就不一定有把握。http://www.999brain.com/
【典型病例】
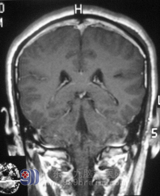
谢先生在一年前开始出现左耳听力变差,未行检查治疗,左侧听力进行性下降,伴间断性伴头痛,可忍受。头颅MRI结果提示:左侧桥小脑角区囊实性占位,考虑神经鞘瘤可能。


10月27日,广东三九脑科医院综合神经外科 鲁明主任主刀,在全麻下行左侧桥小脑角占位切除术+颅内压探头植入术,在显微镜下探查见桥小脑角鱼肉状肿瘤,包膜完整、血运丰富、质软、边界尚清,见肿瘤向前深入内听道,术中对三叉神经、后组颅神经等保护完好,手术顺利结束。术后病理结果为:(左侧桥小脑角区)神经鞘膜瘤。


【我要咨询】 13602473181 15915766180
【了解更多】 综合神经外科
