60岁第一次进城
发布时间: 2011年12月08日 出处:综合神经外科 编辑:谢莉 点击次数:109000
方奶奶没有读过书,大字不识一个。一辈子除了在土里刨食,就是照顾家人,县城也从未去过。她最大的憧憬就是能进城逛逛、一睹都市的繁华。http://www.999brain.com/
今年的11月份,方奶奶终于如愿以偿来到了广州市,可此次,她不是欣赏城市的高楼大厦和霓虹闪烁,而是在儿子的陪同下到广东三九脑科医院进行脑肿瘤手术。
这源于2个月前,方奶奶开始出现头痛,症状逐渐加重并伴有恶心及呕吐,出现右侧肢体麻木、乏力,口角流涎,两天后再次出现头痛不适,伴有呕吐,于是有了今生的第一次进城。http://www.999brain.com/
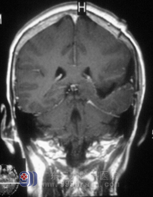
头颅CT+增强结果提示“1、左侧颞叶占位性病灶,2、CTA:左锁骨下动脉、左侧颈内动脉硬化”;头颅MRI检查结果提示:左侧侧脑室占位性病变,考虑为脑膜瘤可能性大。

11月14日,广东三九脑科医院综合神经外科 鲁明主任主刀,在全麻下行左侧脑室脑膜瘤切除术,术前导航定位,取左侧颞顶马蹄形皮瓣切口,术中见肿瘤质地中,血供一般,予肿瘤全切。术后由于语言不通,她每每见到医护人员都会竖起大拇指,似乎在说:“好,好,你们真好,城市真好……”。方奶奶恢复很快,右侧肢体麻木、乏力情况较前好转,未见有口角流涎。病理检查:(左侧侧脑室后角)脑膜瘤,WHO I级。

【我要咨询】 13602473181 15915766180
【了解更多】 综合神经外科
