延髓巨大占位
发布时间: 2011年12月21日 出处:综合神经外科 编辑:谢莉 点击次数:118610
23岁的小凤,今年大学毕业刚参加工作。一个月前,她开始出现双侧肩颈部疼痛及下肢大腿外侧麻木,以为是缺钙、颈椎病,口服钙片并配合颈椎按摩及理疗,症状没有改善。http://www.999brain.com/
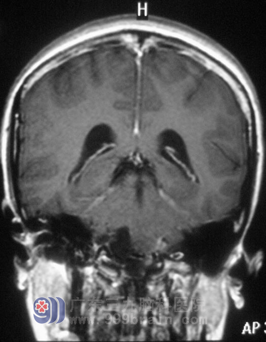
两周前,小凤出现了头痛、头晕,呈阵发性爆炸样疼痛及眩晕,一周前症状明显加重,伴恶心、间断呕吐,右下肢麻木加重。当地医院建议行颈椎MR检查,检查结果把医生都吓了一跳:小凤右侧延髓腹外侧有一占位,直径约2.7cm。在广东三九脑科医院复查MR,小凤延髓处肿瘤大小为4.19cm×2.63cm×3.74cm,伴有梗阻性脑积水,综合神经外科 鲁明主任初步考虑为胆脂瘤。


12月13日,鲁明主任主刀,在全麻下行右侧延髓腹外侧胆脂瘤切除术,作“倒L”型切口,术中见灰褐色肿瘤组织,位于右侧延髓腹外侧,质软,血供一般,在显微镜下分块切除,肿瘤基底部与副神经、舌咽神经、迷走神经粘连紧密,予镜下小心分离后切除,对副神经、舌咽神经、迷走神经、小脑后下动脉均保留完整,手术过程顺利。经过一段时间的治疗,小凤没有出现术前担心的并发症,术前症状均有所缓解。术后经病理证实为:(延髓腹外侧)胆脂瘤。


【我要咨询】 13602473181 15915766180
【了解更多】 综合神经外科
