谁在耳边嗡
发布时间: 2012年02月21日 出处:综合神经外科 编辑:谢莉 点击次数:110408
摘要: 林女士一年前开始出现耳鸣,总感觉耳朵深处隐隐约约传来“嗡嗡”的声音,望一望周围找不到声音的来源;尤其是夜深人静的时候,像是蜜蜂在飞,又像是婵鸣,她常常是夜不能寐,痛苦不堪。
林女士一年前开始出现耳鸣,总感觉耳朵深处隐隐约约传来“嗡嗡”的声音,望一望周围找不到声音的来源;尤其是夜深人静的时候,像是蜜蜂在飞,又像是婵鸣,她常常是夜不能寐,痛苦不堪。渐渐开始出现左侧听力进行性下降,林女士没有去医院进行检查和治疗。http://www.999brain.com/
近三个月来她又出现了头晕,站立或行走转身时症状加重,春节期间头晕更是频繁发作,在当地县人民医院行头颅CT检查提示为左侧桥小脑角区占位性病变,考虑听神经瘤,伴有轻度脑积水。医生告知:这是引起耳鸣的根本原因,此部位手术难度非常大,建议到专科医院治疗。http://www.999brain.com/
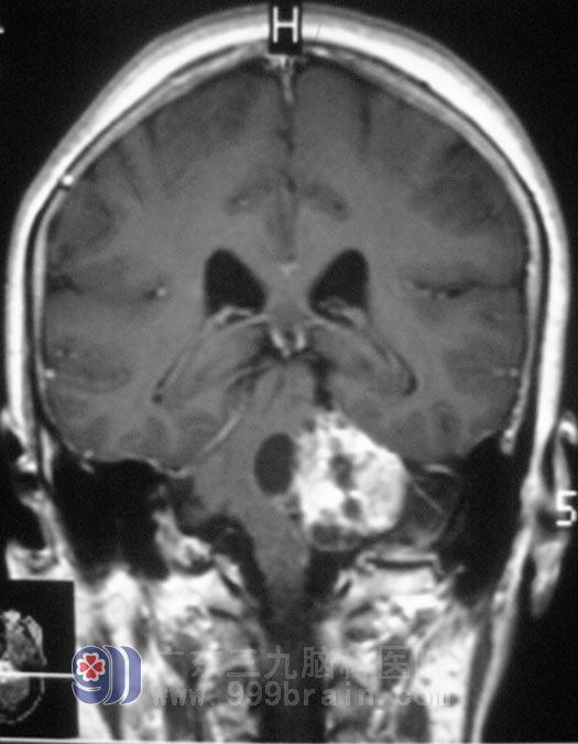
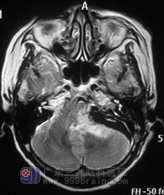
广东三九脑科医院头颅MR检查显示:左侧桥小脑角区示一不规则形囊实性占位性病变,增强后实性部分呈不均匀明显强化,囊性部分未见强化,侧面听神经增粗强化,范围约为3.6cm×4.2cm×3.7cm,周围示轻微水肿,桥脑、延髓,左侧桥臂及左侧小脑半球受压变形、移位,四脑室受压变窄,左侧内听道明显扩大。检查左耳失聪,左侧额纹、鼻唇沟较右侧轻微变浅,伸舌左偏。


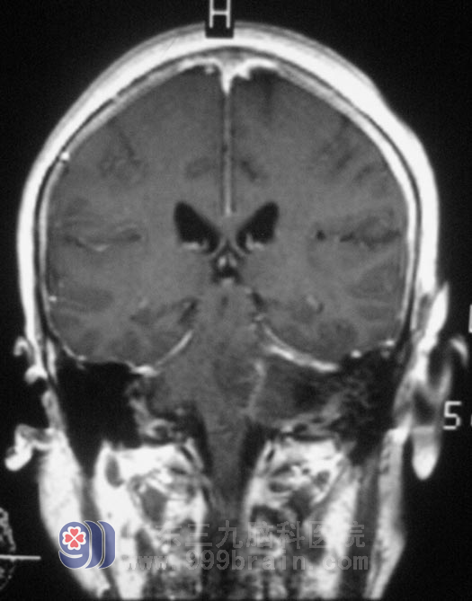
1月31日,由综合神经外科 鲁明主任主刀,在全麻下行左侧桥小脑角占位切除+颅内压探头置入术,术中显微镜下探查见鱼肉状灰白色肿瘤,透明囊壁,放出黄色清亮囊液,包膜完整、血运丰富、质软、边界尚清,向前深入内听道,磨除内听道部分骨质后,刮除约1.0cm×1.5cm肿瘤组织;再向肿瘤下极分离切除,见后组颅神经与之关系密切,分离中予以保留;沿肿瘤与小脑粘连处向后分离,边界尚清,肿瘤表面血管复杂,血供丰富,予以电灼完整分离肿瘤后界包膜并切除;肿瘤内侧面见含黄色液体囊腔,与脑干外侧轻度粘连,仔细分离;肿瘤上极内侧与三叉神经、面神经关系紧密,根据术中神经电生理监测予以完整保留。完全切除肿瘤及囊壁,大小约4cm×4cm×3cm,周围脑组织保护良好。术后两周后,林女士顺利办理出院手续。病理结果证实为听神经瘤。


【我要咨询】 13602473181 15915766180
【了解更多】 综合神经外科
