除病灶保功能的唤醒麻醉
发布时间: 2012年02月23日 出处:综合神经外科 编辑:谢莉 点击次数:106760
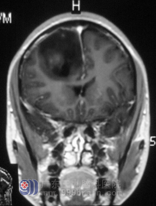
小张在半年前出现失神发作,发作时神志不清,伴有头部左右摇晃,每次持续约30秒到1分钟,当地医院治疗效果欠佳。春节前开始失神发作频率明显增多,每日3次。头部MRI结果显示“右侧额叶占位性病变,考虑胶质瘤可能性大”。
由于肿瘤是生长在功能区,“手术后偏瘫或是不考虑手术”,地方医生让其父母考虑,慎重选择治疗方法。这两种结果都不是他们所希望的。http://www.999brain.com/
广东三九脑科医院综合神经外科 鲁明主任了解病情及家属的意愿后,告诉他们可以使用先进的术中唤醒麻醉技术。唤醒麻醉是指在手术过程中的某个阶段,要求患者在清醒状态下配合完成某些神经测试及指令动作的麻醉技术。最大优点是在手术期间能够评价患者神经功能状态,使患者能在清醒状态下配合完成感觉、运动及神经认知的测试,为手术成功提供可靠保障。术中唤醒麻醉技术,既为神经外科医师解决了一项难题,对患者也可起护驾保航的作用,同时也提高患者术后的生活质量。术中唤醒麻醉技术主要适用于脑功能区肿瘤等,对手术医生及麻醉医生的技术要求都比较高。http://www.999brain.com/
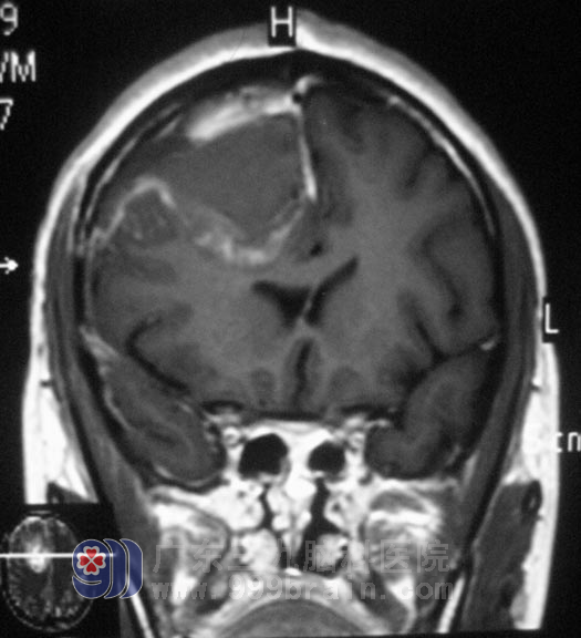
2月8日,小张在全麻下行经右侧额叶病变切除术,术中显微镜下见额叶皮层下黄白色病变,麻醉唤醒他,电生理检测测定功能区范围并标志,逐步分离切除,整个手术切除过程中小张一直保持清醒状态,并且能随时配合医生的指令动作,历时3小时后手术顺利结束。小张的脑功能保护完好,现已满意出院。术后病理结果为:肥胖型星形胶质瘤(WHO II级)。

▲手术前

▲手术后
【我要咨询】 13602473181 15915766180
【了解更多】 综合神经外科
