巨大颅内外沟通瘤
发布时间: 2012年03月31日 出处:综合神经外科 编辑:谢莉 点击次数:105112
颅内外沟通瘤是一类少见的难治性肿瘤,具有术后死亡率高、致残率高和并发症高的“三高”特点。近日广东三九脑科医院综合神经外科成功切除了一例巨大颅中窝底颅内外沟通瘤,患者预后良好,已顺利出院。http://www.999brain.com/
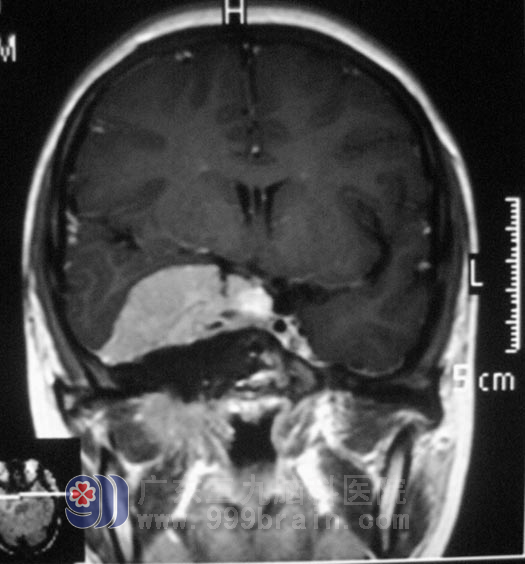
小李在2008年高考那年,出现右眼视力下降,以为是高负荷的复习迎考,造成视力出现问题。一年前右耳听力开始进行性下降,前十多天又出现了右耳失聪,外院行头颅MR检查提示:右侧眶内、中颅窝底、岩斜区占位,病变大小4.98cm×3.34cm×2.62cm,主要位于中颅窝,小部分累及后颅窝,脑干受压。



广东三九脑科医院综合神经外科 鲁明主任查阅影像资料发现:肿瘤侵润海绵窦,颅内外沟通,经CT检查见蝶骨及斜坡右侧、右侧颞骨岩部、额骨底部右侧骨质异常,经耳鼻喉科活检排除鼻咽癌。
13日,鲁主任主刀,在全麻下行右侧中颅窝、岩斜区占位切除术,术中显微镜下沿中颅窝肿瘤基底部开始切除,肿瘤质软,呈灰白色,夹杂黄色颗粒,血供丰富,沿基底部硬膜向内侧切除,电磁刀切开并切除小脑幕约1cm可见颞骨岩部、斜坡肿瘤组织,肿瘤与周围关系紧密,向内切除斜坡处肿瘤,向下见肿瘤与滑车、三叉神经粘连,抬起额叶,暴露视神经、颈内动脉及其分叉处,可见第二、三间隙内肿瘤,肿瘤向眶上裂内生长,予以钝性切除,手术历时10小时后顺利结束。病理结果为:脑膜瘤。



【我要咨询】 13602473181 15915766180
【了解更多】 综合神经外科
