成功全切十年后复发的脑胶质瘤
发布时间: 2012年06月26日 出处:综合神经外科 编辑:谢莉 点击次数:108283
2002年,李先生曾在广州一家医院行肿瘤切除手术,术后病理结果为胶质瘤II级,没有进行放化疗。
2008年,他开始出现四肢抽搐,发作时神志不清、四肢强直,持续约2分钟后缓解,一年发作2次左右。2011年视频脑电图检查提示异常脑电图:右侧额区见少量尖波、尖慢综合波发放,对于这些表现,也没有进行治疗。
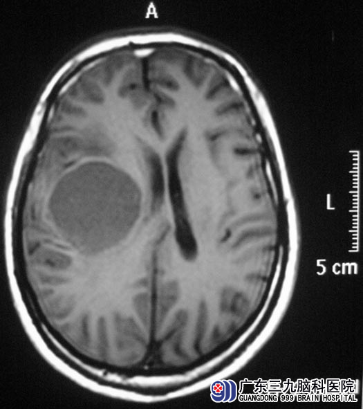
今年年后,李先生开始出现左侧肢体乏力,左手持物不能,言语欠清晰。这下李先生不敢再大意。广东三九脑科医院头颅MR结果提示:右侧额顶叶病变,直径约5cm,考虑胶质瘤复发可能。http://www.999brain.com/
十年后,李先生需要面对再次的手术治疗,并且这次手术的难度更大。
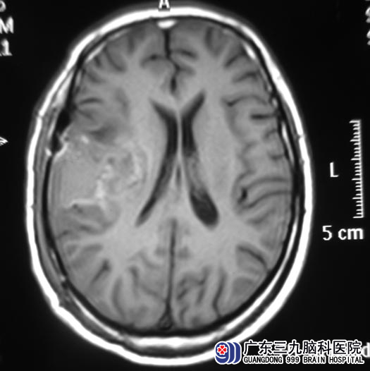
5月25日,由综合神经外科 鲁明主任主刀行右额叶肿瘤切除术,术中见局部脑组织色泽改变明显,导航定位肿瘤位置,皮层电生理监测确定功能区位置,术中使用唤醒麻醉让李先生言语及肢体功能配合,肿瘤在镜下全切,手术过程顺利。术后左侧肢体活动较前好转,语言及肢体活动功能未有受损。已康复出院。术后病理结果为:少突胶质细胞瘤。后期李先生仍需要做进一步的放化疗。

▲手术前

▲手术后
【我要咨询】 13602473181 15915766180
【了解更多】 综合神经外科
