不太少见的鞍区脑膜瘤
发布时间: 2012年07月17日 出处:综合神经外科 编辑:谢莉 点击次数:93196
鞍区脑膜瘤在临床上称为鞍上脑膜瘤,属于良性肿瘤,是不太少见的脑膜瘤,女性多发。由于肿瘤的生长部位与视神经、颈内动脉、大脑前动脉紧密相连,手术难度大。临床表现多以视力、视野障碍为首发症状,患者还可出现头痛、精神症状等。
鞍区是颅内疾病的好发区域,此处结构复杂,病变易误诊误治。鞍区脑膜瘤一旦确诊应尽早手术治疗。
【典型病例】
小慧是位大三学生,一周前突然出现可以忍受的右侧头痛,但疼痛间断发作。在同学的陪伴下,小惠到医院行头颅CT检查,结果提示“右侧蝶骨嵴内侧、鞍旁占位性病变,考虑脑膜瘤”。http://www.999brain.com/
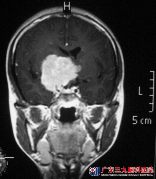
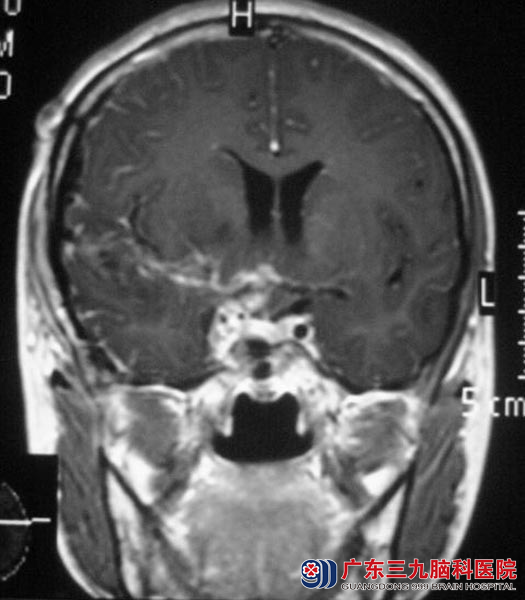
同学们开始帮着小惠找医院,经过不断的咨询,她们选择了广东三九脑科医院。头颅MR检查提示肿瘤大小约42.0mm×47.5mm×45.8mm,邻近脑室受压,三脑室明显受压变窄,右侧侧脑室受压,中线结构左偏。邻近视交叉右侧显示不清,右侧海绵窦部分边缘与病史分界不清。

由综合神经外科 鲁明主任主刀,在全麻下行肿瘤切除手术,硬膜血供较丰富,暴露中颅窝底,见灰白色肿瘤,质韧,有完整包膜,血供丰富,广基与蝶骨嵴及部分颞鳞部硬膜相连,与周围脑组织部分粘连易分离,显微镜下电凝肿瘤于颅底硬膜连接处,向前至前床突,前颅窝底后部,向后至岩斜区,超声吸引吸除部分肿瘤,分离与脑组织粘连肿瘤,边分离边分块切除,从前床突处分离肿瘤见颈内动脉,棉片保护血管,仔细分离出颈内动脉、大脑中动脉、大脑前动脉及视神经,切除分离的部分肿瘤,见肿瘤向海绵窦内侵犯,在显微镜下予肿瘤切除,达辛普森I级,手术对颈内动脉、大脑中动脉、大脑前动脉、视神经、动眼神经保护完整。小惠已康复出院。术后病理结果为:脑膜瘤(合体细胞型,WHO I级)。

【我要咨询】 13602473181 15915766180
【了解更多】 综合神经外科
【QQ聊聊】: 1194617505
