“伏击”中年的脑胶质瘤
发布时间: 2012年08月21日 出处:综合神经外科 编辑:谢莉 点击次数:93960
梁老师,一贯体健,连感冒都不常有。他爱好运动,篮球场上生龙活虎的样子,谁都看不出他已近50岁,
一周前,梁老师感觉有点头痛,以为是运动过于剧烈导致,认为休息休息,服点自己买的止痛药就会好转。但是几天以后头痛并不见缓解。家人回忆起最近这段时间梁老师的记忆力、理解力好像不如从前,反应也变得迟钝,只是都没有重视,一致建议他到医院检查。http://www.999brain.com/
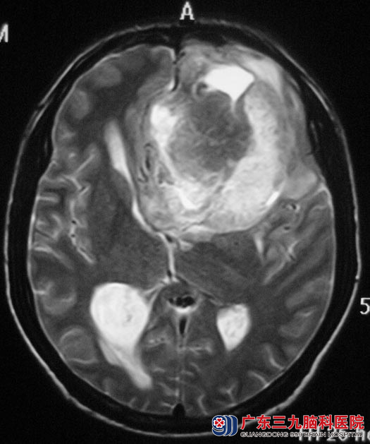
当地医院CT结果提示:左侧额叶占位性病变,考虑胶质瘤的可能。

入住广东三九脑科医院综合神经外科,完善相关检查后,鲁明主任主刀,在全麻下行左侧额叶肿瘤切除+去骨瓣减压术,术中见肿瘤呈胶冻样,质地硬,血供丰富,左侧大脑前动脉被肿瘤包裹,显微镜下予肿瘤分块切除,术后病理证实为:左侧额叶胶质母细胞瘤(WHO IV级)。之后梁老师还需要进一步的放化疗。

【广东三九脑科医院综合神经外科鲁明主任点评】
脑肿瘤的发病率出现逐年上升的趋势,神经性胶质瘤是最为常见的一种,通常被称胶质瘤,是一种大脑中枢神经系统的原发性肿瘤,多属于恶性。脑胶质瘤在发生之初,通常没有典型的症状,仅仅表现为头痛、头晕,经常被误以为是睡眠不足或神经衰弱。http://www.999brain.com/
脑胶质瘤的发病高峰期在45~55岁,这部分人正好是社会及家庭的中坚力量,因此对社会及家庭的破坏性非常大。尽管脑瘤的发病率在全身肿瘤中并不属高发,但其致残、致死率却很高。正因为如此,及时发现并选择正确的治疗方法、降低其复发率和死亡率就显得尤为重要。
【我要咨询】 13602473181 15915766180
【了解更多】 综合神经外科
【QQ聊聊】: 1194617505
