突然失眠 小心脑瘤
发布时间: 2013年01月10日 出处:综合神经外科 编辑:谢莉 点击次数:82466
失眠不稀奇,一般的失眠常是心理因素导致,可通过药物来控制。但失眠来得突然,并且各种助眠方法都无法改善,就要考虑器质性病变的原因,最好是去医院检查。http://www.999brain.com/
谭老师的作息时间一直很规律。在五个月前开始失眠,他以为是带毕业班压力大引起,吃了点安眠药辅助睡眠。
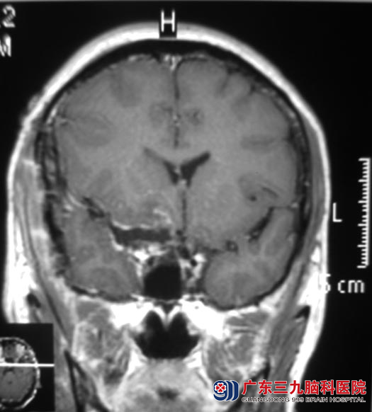
逐渐的,药物也没有效果,同时伴有额颞部间断性疼痛。当地医院行头颅CT检查提示:右侧鞍旁占位,考虑脑肿瘤。广东三九脑科医院头颅MR检查提示“右侧蝶骨嵴脑膜瘤,大小约3.1cm×3.1cm×3.5cm,考虑脑膜瘤”,CTA示“右侧颈内动脉及其分支与肿瘤关系密切”。

完善相关检查后,综合神经外科 鲁明主任主刀,在全麻下行右侧蝶骨嵴脑膜瘤切除术,术中见灰白色肿瘤位于右侧鞍旁蝶骨嵴区,颈内动脉位于肿瘤下方,大脑中动脉位于肿瘤后下方,大脑前动脉位于肿瘤内侧下方,在显微镜下分块全切肿瘤,术中视神经、动眼神经、颈内动脉及其分支血管保护完好。手术的谭老师头不痛了,睡眠基本恢复如前。

【我要咨询】 13602473181 15915766180
【了解更多】 综合神经外科
【QQ聊聊】: 1194617505
