综合神经外科成功全切巨大“蝶骨嵴内2/3脑膜瘤”
发布时间: 2011年04月01日 出处:综合神经外科 编辑:谢莉 点击次数:132796
摘要:近日,我院神经外五科采用介入治疗配合显微手术,全切巨大“蝶骨嵴内2/3脑膜瘤”,右侧颈内动脉及其分支、椎动脉及其分支、双侧视神经、外展神经及动眼神经保护完好,麻醉清醒后患者能正确应答、肢体活动自如。
蝶骨嵴是脑膜瘤的好发部位之一 ,但因肿瘤大小和生长部位不同,手术难度差异很大,生长在内1/3者常以颅内压增高为首发症状,即使肿瘤直径不大,其手术难度远比外1/3的巨大者更大,这与其邻近颈内动脉及其分支、海绵窦、下丘脑及脑干等重要结构有关,被誉为神经外科三大难题之一。http://www.999brain.com/
近日,我院神经外五科采用介入治疗配合显微手术,全切巨大“蝶骨嵴内2/3脑膜瘤”,右侧颈内动脉及其分支、椎动脉及其分支、双侧视神经、外展神经及动眼神经保护完好,麻醉清醒后患者能正确应答、肢体活动自如。
许女士,今年45岁,7个月前,出现右眼视力下降,呈进行性加重,当地医院MRI提示“右侧鞍区占位,考虑脑膜瘤”,医生告诉许女士的家属:肿瘤部位大而深,刚好有一条脑部供血的动脉从瘤子中穿通而过,不手术,许女士将继续遭受肿瘤压迫而出现的种种症状;手术,随时有可能大出血而出现生命危险。
经过反复掂量,他们选择了广东三九脑科医院,在我院辅助检查后发现:肿瘤大小约4.3*4.2*4.5cm,是位于不同部位的脑膜瘤,会造成相应的神经功能缺损:蝶骨嵴内侧型脑膜瘤会造成视野缺损、小脑桥脑角脑膜瘤会造成小脑损害、脑室内脑膜瘤会造成脑脊液循环障碍,而深部脑膜瘤,肿瘤与神经、血管、脑干及丘脑下部紧密粘连,不易分离,肿瘤不易切除。在手术上,蝶骨嵴内侧型脑膜瘤位于右侧前中颅窝底,手术全切除难度大,而许女士的脑膜瘤巨大,侵犯至周围重要生命中枢,手术难度更大。http://www.999brain.com/
神经外五科鲁明主任分析后指出:许女士右眼视力下降与右侧鞍区占位有关,从头颅MRI上看,右侧鞍区占位内有许多血管通过,右侧颈内动脉被肿瘤包裹,有受压变细,术中分离肿瘤可能损伤颈内动脉。经过慎重考虑决定先行造影栓塞后再行手术治疗,避免术中大量出血,减少手术的风险性。3月20日,许女士在介入室行肿瘤部分供血血管栓塞术。3月22日,由鲁明主任主刀,在全麻下行“右侧蝶骨嵴脑膜瘤切除术”, 术中见肿瘤位于右侧中颅窝底,其基底部位于右侧蝶骨嵴、前床突位置,包绕右侧颈内动脉并延伸至对侧鞍旁,右侧视神经被肿瘤包绕并向上抬起,右侧动眼神经、外展神经被肿瘤压迫位于肿瘤外侧,肿瘤质地较软,血供丰富。显微镜下小心分离,将肿瘤分块全切,椎动脉及其分支位于肿瘤后下方,过程中右侧颈内动脉及其分支、椎动脉及其分支、双侧视神经、外展神经及动眼神经保护完好,手术成功完成。术后患者病理结果为:(右侧蝶骨嵴)脑膜皮细胞型脑膜瘤,WHOI级。


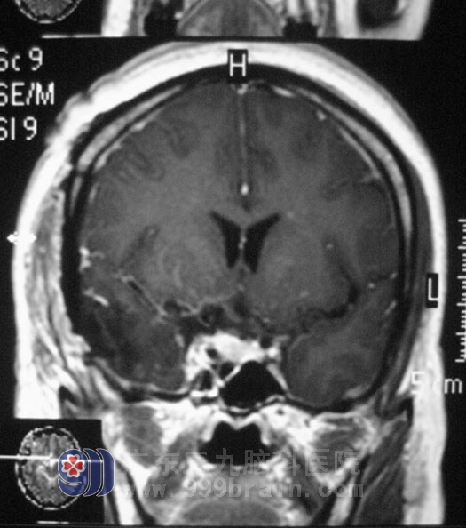
▲手术前影像(红圈内为穿过肿瘤的动脉血管)


▲手术后影像
【广东三九脑科医院综合神经外科 鲁明主任点评】http://sjw5.999brain.com/OfficeHome-18/
蝶骨嵴脑膜瘤(sphenoid ridge meningioma,SRM)位置深在,附近有重要的血管和神经,且肿瘤可能侵犯海绵窦或颈内动脉,极难全切。这些部位包括鞍区、斜坡、岩尖、海绵窦及颈静脉孔区,结构复杂,并发症多。在以前,蝶骨嵴脑膜瘤的切除非常困难,出血量大、并发症多,病人的致死致残率高,随着显微神经外科的发展和医疗技术的不断成熟,肿瘤的全切率已发生显著变化,手术创伤小、全切除率高发展,让病人达到最大的疗效。许女士手术的成功,证明了我院神经外科肿瘤手术技术又达到了一个新的高度。
【我要咨询】:13602473181
【了解更多】:神经外五科
