“瘫了我也认了,只要不昏迷”
发布时间: 2011年04月13日 出处:综合神经外科 编辑:谢莉 点击次数:117231
当李先生和家人拿着医院的影像片子跑了很多家医院,被告知手术有可能会造成他瘫痪的时候,全家真的是绝望了,他才36岁啊!http://www.999brain.com/
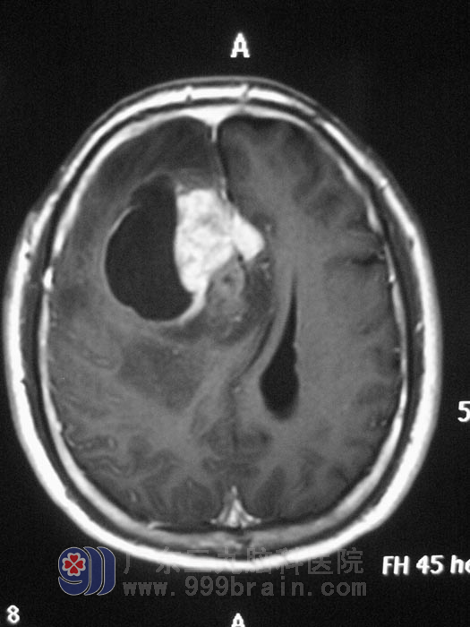
医生说,李先生是右额叶的4.0*4.0*5.0cm占位性病变,极有可能是胶质瘤,并且还告诉他,脑胶质瘤具有进行性发展和侵袭性生长的特性,属恶性肿瘤范畴,其治疗迄今仍是一世界性难题,由于肿瘤组织与正常组织之间界线不清,手术很难将其彻底清除,复发率极高。
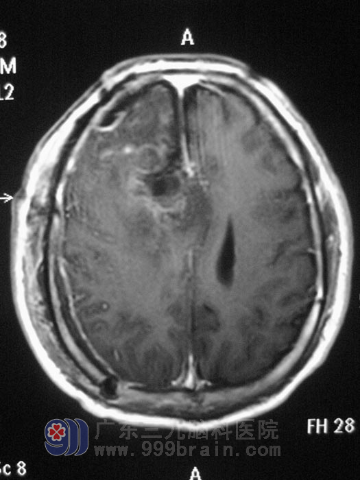
2011年3月27日,来到广东三九脑科医院,他们对 综合神经外科的 鲁明主任说:“给我手术吧,瘫痪了我也认了,只要不昏迷。”3月30日,鲁主任主刀,在全麻下给李先生行右侧额叶占位切除术,术中见肿瘤呈褐灰色,质软,血运较丰富,边界不清,边止血边超声吸引吸除肿瘤,分块切除肿瘤,前至额极,内侧完全切除至大脑镰,见胼胝体,后近中央前回,底部见侧脑室前角,范围约4.0*4.0*5.0cm。术后李先生生命体征平稳,麻醉清醒顺利,四肢可见自主活动,病理检查回报:(右侧额叶)胶质母细胞瘤(WHOIV级)。http://www.999brain.com/
术后第三天查体:神志清醒,问答切题,瞳孔等大等圆,对光发射灵敏,双侧颜面部痛温觉对称,嘴角无偏斜,鼻唇沟对称,伸舌居中,吞咽反射存在,颈软,四肢运动自如,各项神经系统检查正常。
李先生喜极而泣:我不但没昏迷,而且没瘫!

手术前影像

手术后影像
【我要咨询】:13602473181
【了解更多】:神经外五科
