颅内肿瘤 耳朵报警
发布时间: 2011年05月04日 出处:综合神经外科 编辑:谢莉 点击次数:118720
49岁的何阿姨,一年前开始出现右耳耳鸣,伴有进行性听力下降,偶尔还会出现头痛。半年前又出现了头晕,同时伴有右侧面部麻木、不自主的抽动,何阿姨忍受了将近一年的折磨,发展到现在的右眼视物模糊,右侧颜面部浅感觉、痛觉、温觉减退,吞咽困难,右耳几乎失聪。http://www.999brain.com/
儿子不忍看着母亲忍受如此痛苦,强行带着她到医院检查,一查吓一跳,母亲头痛头晕听力失聪的原因是脑袋里面长着肿瘤。先后去当地医院、广州市等医院就诊,都说手术风险很高,医生告诉他们:病变是位于桥小脑角区,临近的后组颅神经都具有重要功能,如果造成功能障碍将会对病人的生活质量带来严重的后果。而且桥小脑角临近脑干–即生命中枢,稍有不慎即可造成病人呼吸、心跳停止。医生坦言手术成功的把握不大。http://www.999brain.com/
抱着一线希望,他们找到广东三九脑科医院 综合神经外科 鲁明主任。
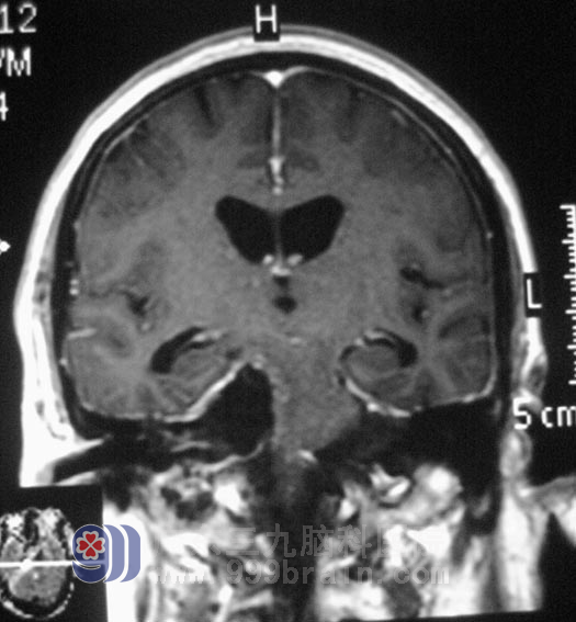
何阿姨的影像资料显示,肿瘤大小约3.0 cm *4.27 cm *3.18cm,初步诊断:1、右侧桥小脑角占位 (考虑脑膜瘤)2、脑积水 3、双侧基底节区腔隙性脑梗塞。完善相关检查后,3月31日,由鲁主任主刀在全麻下给何阿姨行右侧桥小脑角占位切除术+颅内压探头植入术,术中见肿瘤呈粉红色,质软,包膜完整,血供一般,显微镜下利用超声吸引器切除肿瘤,整个手术过程顺利。术后病理结果为:右桥小脑角区)纤维型脑膜瘤WHOI级,经过一段时间的住院治疗,何阿姨右耳的听力、视力、面部感觉都有所恢复,可以自主进食,已经康复出院。

手术前

手术后
【广东三九脑科医院 综合神经外科 鲁明主任点评】
桥小脑角脑膜瘤一般发病以中年女性为多,以第V、Ⅶ、Ⅷ颅神经损害和小脑功能障碍最常见,听神经损害最多见,90%以上病人有听力障碍和早期耳鸣。http://www.999brain.com/
在以前,桥小脑角区肿瘤切除难度大,致死致残率高,但是近10年来,随着显微外科的不断发展,桥小脑角脑膜瘤的手术效果有了提高,应用显微手术,特别是超声吸引器运用于桥小脑角脑膜瘤切除术,以最小的代价获取最大的疗效,尽可能地避免了对正常的神经功能区域或者病灶以外区域的损伤。
对有听力下降、面部肌肉抽搐、面瘫、面部感觉减退或疼痛的患者,应尽早到医院诊断,争取早期手术治疗。
【我要咨询】:13602473181
【了解更多】:综合神经外科
