准爸爸积极对抗小脑肿瘤最终得康复
发布时间: 2011年08月17日 出处:综合神经外科 编辑:张婵 点击次数:104239
近年来,由于各种因素,脑肿瘤频繁出现,这给众多的家庭带来了不幸,它扰乱了越来越多人的生活,甚至是剥夺了生存的权利。当中有些患者的病情是完全可以治愈的,却因为发现得太晚,耽误了治疗的时间,因此,了解各种疾病的发病症状,无疑是必不可少的课程之一。准爸爸阿辉的故事会让你了解更多关于小脑肿瘤的病症。http://www.999brain.com/
年轻小伙子阿辉是80后的闪婚一族,再过几个月他就要当爸爸了。在半个月前的一天早上,他无明显诱因出现头痛,后脑部阵发性刺痛,卧床休息后可缓解,开始他认为是疲劳所致,没有给予更多的重视。http://www.999brain.com/
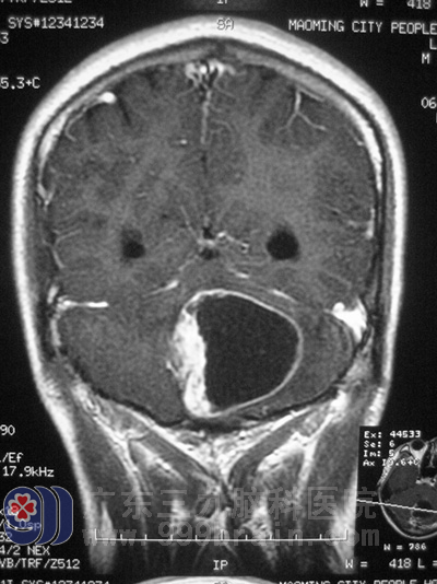
最近几天,阿辉的头痛越来越频繁,清晨起床后头痛更剧烈,并伴有恶心、轻微头晕等症状。到当地医院行头颅CT检查后发现:左小脑及小脑蚓部区占位病变并幕上脑积水。一家人都不愿意相信这个检查结果,于是再次到当地中心医院求证,行头颅MR提示小脑半球占位性病变,怀疑为血管母细胞瘤或小脑星形细胞瘤。但由于肿瘤长的位置较深,肿瘤附近血管丰富,毗邻脑干,因此,当地医院不敢贸然为之手术,并告知阿辉,手术过程稍有不慎将会使他瘫痪或者变成植物人。
本来生活美好的一家人从此陷入了阴霾之中。阿辉的头痛一天比一天严重,呕吐越来越频繁,精神食欲也越来越差。为了得到更好的治疗,他们来到广东三九脑科医院综合神经外科求医。鲁明主任详细了解了阿辉的病情后,立刻组织专家团队制定周密的手术方案。阿辉入住广东三九脑科医院的第二天,就顺利接受了小脑半球肿瘤切除术。在术后精心治疗和护理下,阿辉慢慢地醒了,头也不痛不晕了,一家人总算是“守得云开见月明”。http://www.999brain.com/

手术前

手术后
【广东三九脑科医院鲁明主任点评】
小脑肿瘤的症状表现也有很多,所以就要大家铭记在心,多多观察自己的身体。临床发现,众多的患者早期会出现以下症状:头痛、呕吐,有些情况是头晕伴有肢体乏力等,当出现这些症状时,我们都要引起警惕,尤其是其中有些我们会误认为是小问题的症状,不要因为我们的不重视而延误了治疗的时机。因此,当身体出现不适时,不要掉以轻心,而要立即到医院就诊才是关键。希望大家在了解患小脑肿瘤的症状后,一旦发现不适症状的体现,一定要尽早到医院做检查,不容忽视这些小变化,以免小病痛变成大麻烦,对自己对家人对生活造成严重影响。
【我要咨询】 13602473181
【了解更多】 综合神经外科
