被“转移瘤” 老翁悲喜两重天
发布时间: 2011年09月08日 出处:综合神经外科 编辑:谢莉 点击次数:108423
老张因为被当地医院怀疑是肿瘤脑转移,家人以泪洗面;在广东三九脑科医院确诊是“蝶骨嵴脑膜瘤”,并成功切除,9天即满意出院,老张在短短的十天时间里经历了人生的悲喜两重天。http://www.999brain.com/
四年前,老张无明显诱因出现反复头痛,呈胀痛,无恶心、呕吐,自行服用止痛药后症状好转。一周前的一个晚上,老张突然出现四肢抽搐,口吐白沫,意识障碍,约一分钟后恢复正常,家人都吓坏了,次日在当地医院行头颅CT检查提示“颅内多发占位性病变,可疑转移瘤”。儿女们都不敢告诉他结果,甚至连检查报告都藏了起来,整日以泪洗面。为了进一步明确原因,他们来到了广东三九脑科医院综合神经外科。http://www.999brain.com/
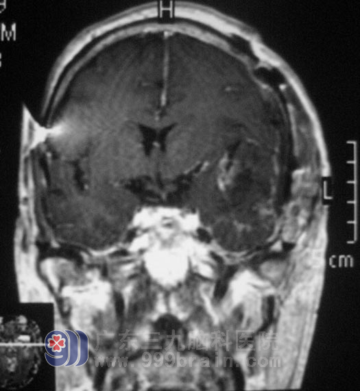
经普通脑电图检查提示轻中度异常脑电图,左侧脑区慢波稍有明显,左额区稍著,头颅MR检查提示:左侧蝶骨嵴占位性病变,左侧大脑镰旁占位性病变,考虑脑膜瘤可能。

完善相关检查后,鲁明主任主刀,行左侧翼点入路蝶骨嵴脑膜瘤切除术+颅内压监护探头置入术,术中可见颞叶处肿瘤血供丰富,肿瘤主要位于硬膜下及颞窝内,包膜完整,基底部位于蝶骨嵴处,大小约4.0cm×4.7cm×5.9cm左右,在显微镜下将肿瘤全切,手术非常顺利。术后老张恢复良好,没有出现异常不适。病理证实为:(蝶骨嵴)纤维型脑膜瘤,WHO I 级。住院九天即满意出院。

【我要咨询】 13602473181
【了解更多】 综合神经外科
