看病例,学常识
发布时间: 2011年11月01日 出处:综合神经外科 编辑:谢莉 点击次数:110673
耳鸣患者在五官科治疗多年无果,很多病例查明和听神经肿瘤有关。不巧,这事又发生在了黄阿姨的身上。
黄阿姨5年前出现右侧听力下降、耳鸣,并进行性加重。多次在当地医院五官科就诊,耳鸣不但久治不愈,反而越来越明显,近一月出现阵发性头痛。五官科医生建议:出现了头痛症状,去看看脑科吧。 http://www.999brain.com/
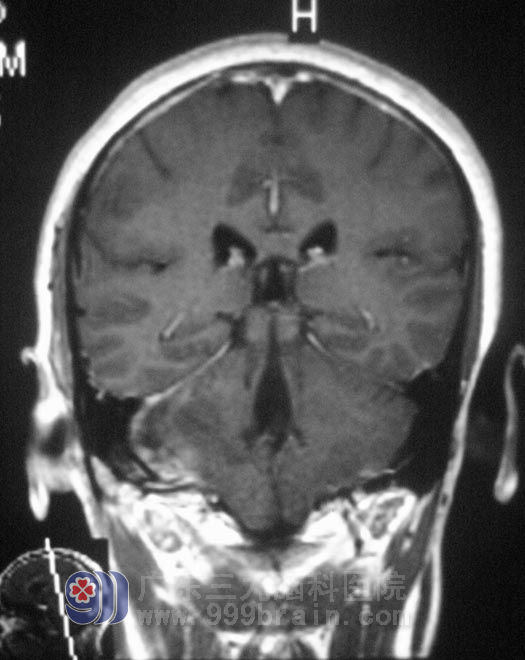
在广东三九脑科医院综合神经外科就诊,头颅MR提示:右侧桥小脑角区占位,大小53.2mm×26.1mm×49.9mm,初步考虑为听神经瘤。在五官科治疗5年无果,祸根竟然又是脑肿瘤。

10月11日,鲁明主任主刀,在显微镜下行右侧桥小脑角占位性病变切除术,术中见肿瘤边界清楚,呈囊实性,部分质韧,血供丰富,分块大部分切除肿块,小部分肿物与脑干及后组颅神经粘连紧密,经过慎重考虑行部分切除术,对后组颅神经保护完好,修补硬膜,顺利结束手术。两天后复查MR示肿瘤基本切除。术后病理结果为:(右侧桥小脑区)神经鞘瘤(听神经瘤)。

【听神经瘤小常识】http://www.999brain.com/
1.听神经瘤有什么表现?
早期:耳部症状肿瘤体积小时,出现一侧耳鸣、听力减退及眩晕,少数患者时间稍长后出现耳聋。耳鸣可伴有发作性眩晕或恶心、呕吐。
中期:面部症状肿瘤继续增大时,压迫同侧的面神经和三叉神经,出现面肌抽搐及泪腺分泌减少,或有轻度周围性面瘫。三叉神经损害表现为面部麻木、痛、触觉减退、角膜反射减弱、颞肌和咀嚼肌力差或肌萎缩。
晚期:小脑桥脑角综合征及后组颅神经症状,肿瘤体积大时,压迫脑干、小脑及后组颅神经,引起交叉性偏瘫及偏身感觉障碍,小脑性共济失调、步态不稳、发音困难、声音嘶哑、吞咽困难、进食呛咳等。发生脑脊液循环梗阻则有头痛、呕吐、视力减退、视乳头水肿或继发性视神经萎缩。http://www.999brain.com/
2. 听神经瘤需要如何检查?
神经耳科检查由于病人早期仅有耳鸣、耳聋,常在耳科就诊。如有听力进行下下降、耳鸣等应进行听力和前庭功能检查,以及脑干诱发电位、普通放射线检查等,必要时应行颅脑CT及磁共振检查,以便进一步明确诊断。
【我要咨询】 13602473181
【了解更多】 综合神经外科
