胆脂瘤引起的三叉神经痛
发布时间: 2012年02月01日 出处:综合神经外科 编辑:谢莉 点击次数:113329
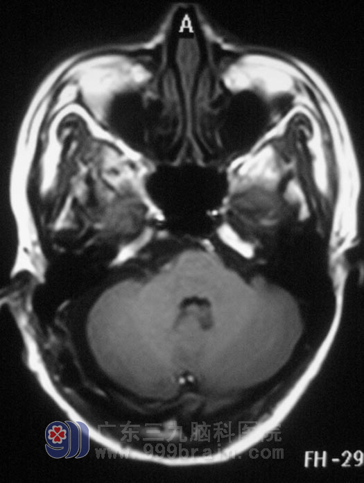
小张大约在两个月前开始出现右侧颜面部疼痛,呈放电样,持续约数分钟后自行缓解,每天发作数次,进食可诱发,喜爱的歌也不敢哼。当地医院以“三叉神经痛”治疗,口服卡马西平,但症状反复。当地上一级医院MR检查示“右侧桥小脑角区占位,考虑表皮样囊肿,大小约4cm×1.8cm”。小张自己在网上查阅了很多资料,了解到三叉神经痛方面的相关知识,最终决定在广东三九脑科医院三叉神经痛诊疗中心接受治疗。http://www.999brain.com/
鲁明主任通过MR弥散检查,考虑胆脂瘤可能。1月4日在全麻下行右侧乙状窦后入路桥小脑角区胆脂瘤切除术,术中见白色珍珠样肿瘤组织,位于右侧桥小脑角,质软,血供丰富,显微镜下分块切除,肿瘤与三叉神经粘连紧密,小心分离后完整保留三叉神经;术中对面神经、听神经保护完好,手术顺利结束。术后一小时,小张醒后诉右侧颜面部放电样疼痛消失。没有出现面瘫、嘴角歪斜等术后并发症。术后病理结果为:胆脂瘤。

▲手术前

▲手术后
【我要咨询】 13602473181 15915766180
【了解更多】 综合神经外科
