被血管缠绕的脑膜瘤
发布时间: 2012年06月13日 出处:综合神经外科 编辑:谢莉 点击次数:95771
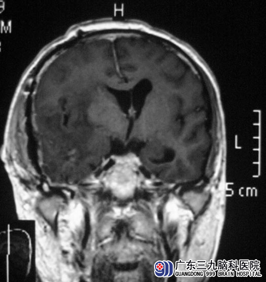
四十的方先生,半月前开始出现头部胀痛,以为是应酬多喝酒过量引起。戒酒后,头痛症状不但没有好转,反而进行性加重,以右侧枕项部为主,当地医院的头颅CT检查提示:“右侧额颞枕占位性病变”。http://www.999brain.com/
在广东三九脑科医院进一步检查发现:1、右侧颞部占位病灶,考虑血管外皮细胞瘤可能性大,待排间变性脑膜瘤或脑外巨大海绵状血管瘤;2、幕上脑室系统扩大,右侧大脑镰下疝,3、脑白质散在脱髓鞘灶。

5月22日,由综合神经外科 鲁明主任主刀,在全麻下行右侧颞叶占位病变切除术,术中显微镜下见肿瘤紧贴颅底硬脑膜生长,肿瘤表面有大量小血管缠绕,予镜下分块切除,经过顺利。术后康复满意。病理结果为:脑膜瘤(透明细胞型,WHO II级)。

【我要咨询】 13602473181 15915766180
【了解更多】 综合神经外科
