与脑干粘连的四脑室巨大髓母细胞瘤
发布时间: 2012年06月15日 出处:综合神经外科 编辑:谢莉 点击次数:101271
今年二月初,小宇出现高烧不退,在嘴角上有疱疹,脚底有散在皮疹,医院诊断为手足口病,他治愈出院。
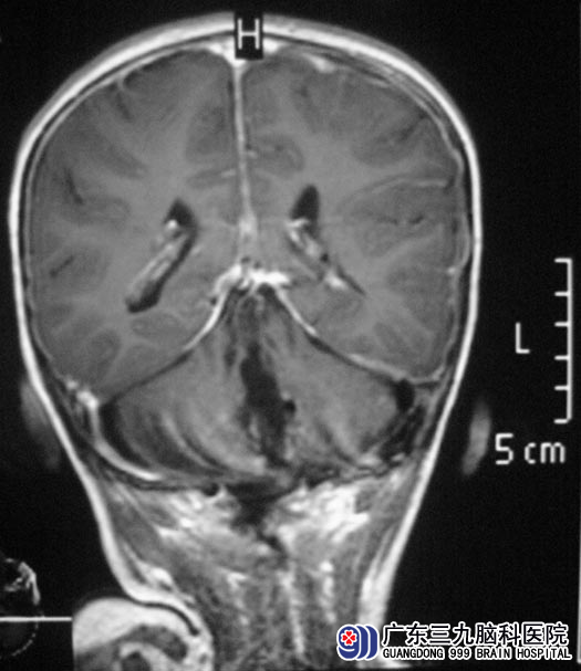
一月前,小宇出现走路不稳,步履蹒跚,易摔倒,家人以为又一次患上手足口病,立即去医院就诊。医生建议行头颅MR检查,结果示;“四脑室占位,大小约4.5cm×4.5cm×5.0cm”,医生告诉他们,手术难度非常大。 http://www.999brain.com/

广东三九脑科医院综合神经外科 鲁明主任了解病史及查阅影像资料后,考虑为髓母细胞瘤合并有梗阻性脑积水。
5月8日,鲁明主任主刀,在全麻下行四脑室内肿瘤切除术。先打开枕大池,释放脑脊液后压力下降,结扎枕窦,见左侧小脑上蚓部肿瘤,呈粉红色,质地不均匀,血供丰富,边界清楚。肿瘤与脑干粘连较重,沿肿瘤与延髓交界处向上分离,行瘤内部分切除,减小肿瘤体积,向上切除部分肿瘤后暴露四脑室顶部,见脑脊液流出,明胶海绵保护。向脑干处继续分离切除肿瘤,见肿瘤与四脑室底部边界清楚,予以仔细分离切除;显微镜下予肿瘤全切,四脑室完整暴露,创面反复止血满意,可见中脑导水管开口,脑脊液引流通畅。手术顺利,术后CT复查,小宇没有出现脑积水等术后并发症。现已康复出院。术后病理证实为:(四脑室)髓母细胞瘤(WHO IV级),后期还需要接受进一步的放化疗。

【我要咨询】 13602473181 15915766180
【了解更多】 综合神经外科
