雾里看花 病根未必在眼
发布时间: 2012年07月09日 出处:综合神经外科 编辑:谢莉 点击次数:92486
凌先生三年前出现视物模糊,如雾里看花,以为无大碍,便没有去医院检查治疗。三年来视力逐年下降,视物范围越来越小,一周前突发头痛,额部胀痛,疼痛时视物模糊加重。http://www.999brain.com/
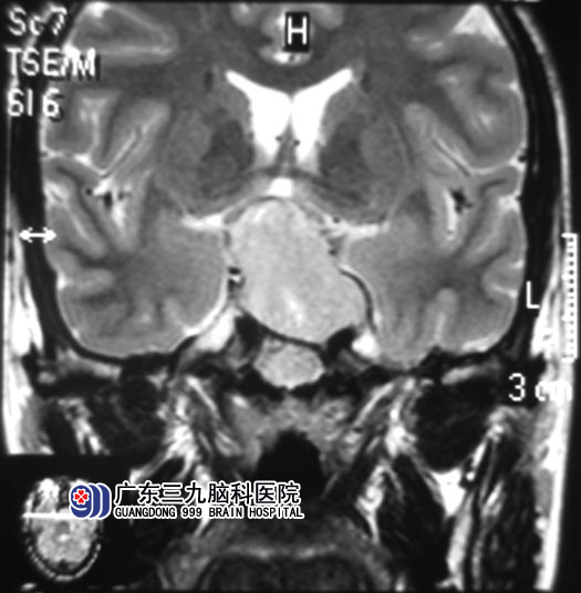
这回,凌先生不敢马虎。当地医院CT检查提示鞍区病变,广东三九脑科医院头颅MR见肿瘤大小约为27.5mm×25.4mm×34.9mm,视交叉受压稍上抬,考虑垂体大腺瘤可能性大。综合神经外科 鲁明主任初步判断可以行经鼻微创手术。http://www.999brain.com/
6月25日,鲁明主任主刀,术前制定导航计划,术中再次导航定位肿瘤,显微镜下见肿瘤呈黄白色,质中,在镜下予肿瘤全切,术中未损伤视神经,修补颅底,手术顺利结束。术后未出现尿崩、离子紊乱、脑脊液漏等并发症,双眼视力较术前好转,康复出院。术后病理:垂体腺瘤。

▲手术前

▲手术后
【我要咨询】 13602473181 15915766180
