脑瘤不问岁数
发布时间: 2012年08月31日 出处:综合神经外科 编辑:谢莉 点击次数:88183
脑瘤并不少见,可发生于任何年龄,虽多见于中年人,但在60岁以上的老年人中也不少见。由于患者高龄,手术风险及术后恢复难度较一般青壮年也大很多。http://www.999brain.com/
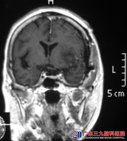
王奶奶今年76岁,一个月前开始出现头痛,以双侧额颞部明显,呈阵发性钝痛,偶有头晕。在当地医院行头颅CT检查,结果提示:左额叶占位,考虑肿瘤性病变,医生告知他们需要手术治疗。广东三九脑科医院头颅MR检查提示病变大小约21.6mm×23.6mm×23.8mm,考虑脑膜瘤。

心脏彩超检查提示:主动脉瓣退行性变并轻度返流,左室扩大;左室顺应性下降,经心内科专家会诊后,认为可以耐受手术。8月20日,由综合神经外科 鲁明主任主刀,在全麻下行左侧蝶骨嵴脑膜瘤切除术,术中见肿瘤基地部位于左侧蝶骨嵴,呈灰白色,质软,血供一般,与硬膜粘连紧密,予显微镜下小心分离,分块予肿瘤全切,手术顺利。经过一段时间的治疗,王奶奶没有出现任何并发症,顺利康复。病理结果为:脑膜皮细胞型脑膜瘤(WHO I级)。

【我要咨询】 13602473181 15915766180
【了解更多】 综合神经外科
【QQ聊聊】: 1194617505
