不是所有的胶质瘤都是恶性肿瘤
发布时间: 2019年11月25日 出处:神经外五科 编辑:XL 点击次数:12090
11岁的小锐,近半年经常出现头痛、呕吐,当地医院头颅CT检查后,医生告诉他们:颅内很大的一个肿瘤,合并严重的梗阻性脑积水,建议去上级医院进一步诊治。
经过多方面的了解和比较,小锐父母最终选择了广东三九脑科医院神经外五科。
小锐的病情危重,入院后第一天就进行了相关的术前准备, 术前MRI 检查:小脑半球巨大囊实性肿瘤, 考虑高级别恶性肿瘤可能,合并梗阻性脑积水。

主治医师林德留告诉小锐父母:小锐虽然年纪小,但是颅内的肿瘤巨大,已经压迫到脑室和脑干,脑积水导致的颅内压增高是孩子头痛、呕吐的主要原因;如果肿瘤进一步增大会加剧压迫脑组织,造成平衡及肢体功能障碍,如果出现脑疝,小锐随时会有生命危险,手术切除肿瘤对小锐来说是必须的。
制定了详细的手术方案后,由鲁明副院长主刀将小锐的肿瘤在显微镜下全切除,术后复查MRI显示:原小脑半球巨大囊实性肿瘤已全切除,脑积水亦明显缓解。

▲术后MRI:原病变已全切除

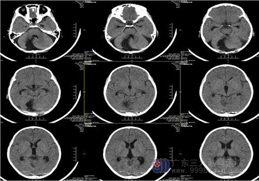
▲术后CT:脑积水已较术前明显缓解

▲术后病理结果:毛细胞星型细胞瘤(WHO I 级)
术后的小锐恢复很快,“不想吐了,头也不痛了!”。看着孩子从病情渐渐稳定到之后的精神抖擞,小锐的爸爸妈妈露出了孩子生病以来的第一次笑容。更让他们惊喜的是:小锐颅内的肿瘤是胶质瘤,但不是恶性肿瘤。
在很多人的理解里,胶质瘤就是生长在大脑中的一种恶性肿瘤。人的大脑大部分是有表面沟壑里面的神经元细胞和下面非常多的神经胶质细胞构成,90%的细胞在大脑是神经胶质细胞,这部分细胞如果发生恶变,就是胶质瘤。大部分胶质瘤是恶性的,但是也有极少数是良性胶质瘤。
毛细胞性星形细胞瘤属于WHO 分类I级的神经上皮性肿瘤,也可以叫I级胶质瘤,是良性肿瘤,可以单纯通过手术治疗而治愈。最常发生于儿童和青年人,可见于大脑半球、下丘脑、前视路、脑干、小脑和脊髓。在幕上最常发生于前视路及下丘脑,一般呈实体性,在幕下最常发生于小脑半球,一般呈囊性伴囊壁或囊旁的瘤结节,这种肿瘤不是一般的胶质瘤,若手术切除干净了,一般是不再会复发。

