脑梗?脑瘤
发布时间: 2020年03月13日 出处:神经外五科 作者:李沛 编辑:XL 点击次数:7126
潘大叔,身体一贯硬朗。前几天吃饭的时候,突然左脸抽搐伴麻木、说话含糊不清,立即在当地医院头颅CT检查,提示:右侧额叶片状梗塞灶;经过抗血小板聚集、稳定斑块等药物治疗,效果不明显。为寻求有效的治疗,在朋友的建议下,潘大叔来到了广东三九脑科医院。
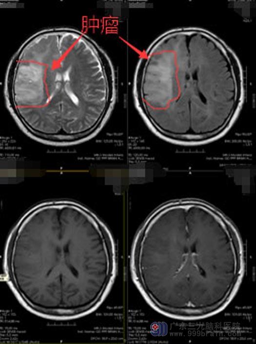
进一步的脑部核磁共振检查发现:右侧额颞岛顶叶、右侧基底节区、双侧丘脑、胼胝体、左侧额顶叶弥漫性病变,考虑为肿瘤性病变,弥漫性星形细胞瘤可能,局部不除外有间变可能。

影像学检查是脑梗塞、脑瘤等颅脑疾病的主要诊断方法,脑梗塞颅脑CT一般是低密度影边界不清,脑瘤如果是良性肿瘤一般边界较为清楚,如果是恶性肿瘤可以出现边界不清的情况。因此有些情况下颅脑CT检查时,脑梗塞和脑肿瘤是不好区分的,需要继续颅脑磁共振或者颅脑磁共振加强的检查。
为了能够最大限度地切除病灶,同时又能最大程度保留患者脑功能,神经外五科鲁明治疗团队经过慎重讨论,在取得潘大叔及家人的同意后,决定在术中唤醒麻醉下行颅内占位切除术。术程顺利,术中患者语言、肢体运动配合良好。病变呈弥漫性,做了最大可能的切除后,患者的神经功能保护好,术后语言和运动功能同术前无加重。病理证实弥漫性星形细胞瘤,目前潘大叔恢复良好,准备下一步的放射治疗。



