功能区胶质瘤大范围的二次复发
发布时间: 2019年08月15日 出处:神经外五科 作者:袁小纯 编辑:XL 点击次数:11594
李叔,七年前由于胶质瘤复发在广东三九脑科医院神经外五科就诊,头颅MR检查示:右额顶叶病变,直径约5cm,行“右额顶叶肿瘤切除术”,病理结果:少突星型细胞瘤(WHOⅡ级),术后左侧肢体乏力减轻,无四肢抽搐,语言流利,之后一直在行放化疗。
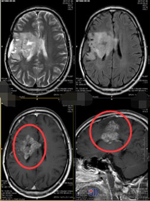
最近因为左侧肢体突然抽搐且肌力明显下降,再次来到神经外五科。MR结果示:右额颞岛叶,右侧基底节,丘脑,放射冠,胼胝体体部占位性病变,强化范围较前明显增大,范围约5.7cm×5.5cm×2.7cm,考虑肿瘤再次复发。
鲁明副院长告诉家属,患者近期症状加重,左侧肢体肌力下降明显,头颅MR提示肿瘤增大,考虑恶性肿瘤进展,需尽快手术,但肿瘤位于功能区,手术难度很大,术后发生肢体偏瘫可能性极大。李叔的妻子坚决地要求手术治疗:鲁院长,您医术精湛,我们无条件地信任您,7年前是您给我老公做手术,手术非常成功,术后他恢复得很好,所以这一次,我仍然把他交给您。
完善术前准备后,由鲁明副院长主刀行“右额颞岛叶、丘脑基底节及胼胝体体部巨大复发胶质瘤切除术”,术中导航定位,显微镜下分块将肿瘤切除,术后李叔言语功能正常,说话流利,左侧肢体肌力同术前。
出院时,李太太说:肿瘤真的太大,要是早点过来诊治就好了,已经是第3次手术,能取得这样的结果,我们都非常满意。

▲手术前

▲手术后

