弥漫性胶质瘤
发布时间: 2022年03月07日 出处:神经外五科 编辑:XL 点击次数:6128
女,38岁。因反复头晕20天入院。查体:神志清楚,精神差,反应迟钝,双侧瞳孔等大等圆,直径约2.5mm,对光反射灵敏,四肢肌力、肌张力正常,感觉无异常,反射对称存在,双侧病理征未引出。术前诊断:1.双侧额叶、右侧胼胝体、透明隔区、基底节区、侧脑室占位,考虑为高级别胶质瘤可能性大;2.梗阻性脑积水。在全麻下行右额部开颅肿瘤切除术,术中将额叶、胼胝体、透明隔部的肿瘤完全切除,基底节区行绝大部分切除。术后病理诊断为弥漫性胶质瘤,IDH1 R132H突变型。术后神志清楚,语言功能正常,复查头颅CT、MRI示术区无出血,肿瘤切除满意。



术前头颅MRI示右侧额颞叶、右侧基底节区、透明隔区及左侧额叶示一团块状不均匀长T1、长T2异常信号影,Flair序列呈高信号,间杂囊状明显长T1、长T2异常信号影,范围约62mm×56mm×43mm,增强后病变局部片状、斑片状、环状不均匀异常强化,周围示斑片状Flair序列高信号水肿影,累及胼胝体压部,视交叉、右侧大脑脚、右侧侧脑室前角、第三脑室、双侧侧脑室室间孔不同程度受压。ASL:右侧额颞叶、右侧基底节区、透明隔区及左侧额叶团块状病灶变低-稍高灌注;DTT(白质纤维束三维重建)右侧额颞叶、透明隔区及左侧额叶团块状病灶内纤维紊乱、中断;右侧皮质脊髓束显示稍稀少;双侧枕额束前份、右侧扣带束显示稀少;胼胝体束显示紊乱,请结合临床。影像学诊断:右侧额颞叶、右侧基底节区、透明隔区及左侧额叶占位性病变,考虑偏高级别成人弥漫性胶质瘤。

术中行右侧额叶造瘘,逐步深入,见灰白色肿瘤组织,部分呈胶冻状,部分质地稍韧,伴有局部囊变,血供丰富,与周围组织界限不清,包绕双侧大脑前动脉,取部分瘤组织送冰冻切片,提示高级别胶质瘤,在显微镜下于中央前回前方沿非功能区正常脑组织边界大块切除肿瘤组织、突入右侧侧脑室内的肿瘤组织以及额极脑组织。由于肿瘤外侧与基底节区、丘脑关系密切,故行次全切除。右侧侧脑室前角用补片予以封堵。

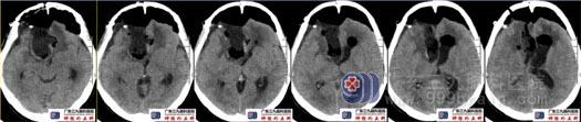
术后复查头颅CT示原肿瘤切除满意,术腔未见明显血肿形成。

术后复查头颅MRI示原病灶已大部分切除,幕上梗阻性脑积水并室周间质性水肿较前减轻。




