昔日灌篮高手,现投篮为何屡失误?
发布时间: 2011年05月17日 出处:综合神经外科 点击次数:20300
“只要能在篮球上驰骋,他就是众多人目光的焦点……”----这是出自一个弟弟口中的话,从中,渗透了对哥哥崇拜的目光。http://www.999brain.com/
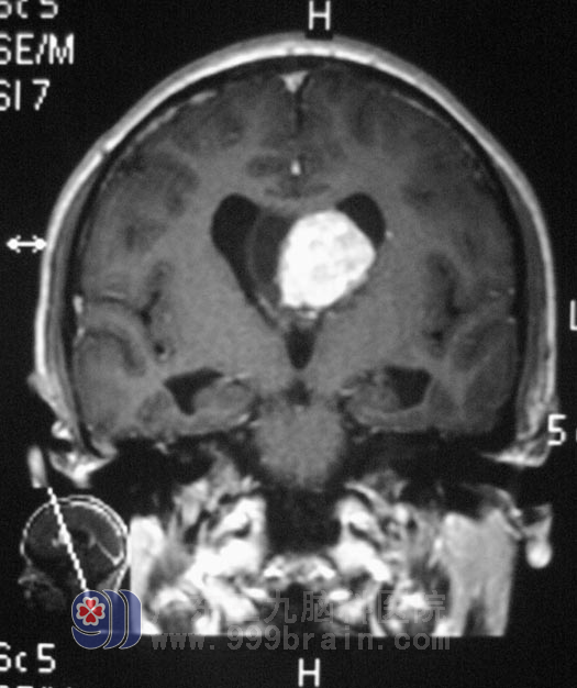
哥哥小何,今年17岁,在家就读高二,身材高大、性格阳光开朗的他,从小就喜欢运动,上学开始就是班中的篮球高手,进球率高、传球速度快,球技非常好。学习成绩也不错,是家人眼中的好孩子。可是二个月前开始,小何射球的命中率就非常低,传球频频出现错误,缘因他无明显诱因出现右眼视力减退,并伴左耳听力下降,刚开始以为学习所致近视眼,没有在意,近一个月来,视力、听力下降明显,还偶感头痛,在当地医院行CT检查示:双侧侧脑室占位,医生告知小何需要暂别篮球一段时间,接受手术治疗。http://www.999brain.com/
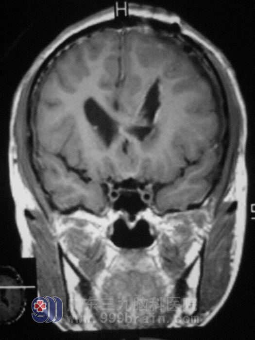
得知儿子得了脑肿瘤,一家人带着小何到处求医,想着儿子风华正茂的年纪,说什么也不能放弃。几经周折,妈妈带着儿子来到广东三九脑科医院找到鲁明主任,门诊查头部MRI报双侧脑室占位性病变,伴梗阻性脑积水。粗侧视力左眼1.0,视野正常,右眼0.3,视野较左眼缩小,左耳听力减退,完善相关检查后,4月21日在全麻下行双侧侧脑室占位切除术,见脑室内灰黄色肿瘤,质中偏软、鱼肉样,内有钙化结节,血运较丰富,显微镜下分块切除肿瘤,肿瘤左侧达左侧丘脑,边界不甚清楚,与脑室壁粘连,内侧至对侧脑室,显微镜下基本全切除肿瘤,手术过程顺利,术后复查CT未见异常,经过一段时间的住院治疗,小何已经康复出院,术后病理结果为:(脑室内)星形胶质细胞瘤,WHOII级。小何后续仍需要行进一步的放疗。http://www.999brain.com/
【广东三九脑科医院 综合神经外科 鲁明主任解析】
各种颅内肿瘤统称“脑瘤”。是神经系统常见的疾病,其发病率呈逐年上升趋势,发病年龄越来越低,给人类的生命健康带来了严重的威胁。因此,对脑肿瘤的治疗已成了医学界研究的重要课题。肿瘤一经确诊,应尽早接受手术治疗,提高生存质量。
脑肿瘤中胶质细胞瘤发病率最高,综合发病年龄高峰在30-40岁,或10-20岁。大脑半球发生的胶质瘤以星形细胞瘤为最多,脑室系统也是胶质瘤较多的发生部位,主要为室管膜瘤,髓母细胞瘤,星形细胞瘤,小脑胶质瘤主要为星形细胞瘤。第三脑室星形细胞瘤:因梗阻性脑积水患者常表现为剧烈的发作性头痛,并可出现突然的意识丧失,精神障碍,记忆力减退等。肿瘤一经诊断,应力争手术治疗。 http://www.999brain.com/

手术前

手术后
【我要咨询】:13602473181
【了解更多】:综合神经外科
