警惕!头痛可能威胁生命
发布时间: 2011年05月20日 出处:综合神经外科 点击次数:21266
脑瘤的早期表现多种多样,凭借个别的症状和体征,几乎不能诊断脑瘤。而头痛就是大家容易忽视的症状。
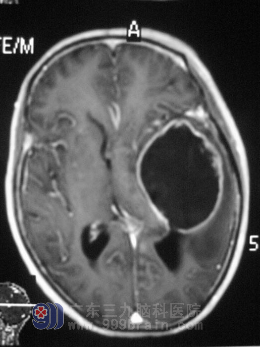
家住汕头的李大爷, 花甲的年龄有着不惑的身体,57岁老人行动、干活不比那些中年人逊色,生活的没有让这位坚强的老人退缩,一周的反复头痛,让老人度日如年。无明显诱因出现反复阵发性头痛,老人的症状谁也没有引起重视,痛起来的时候只是自己吃两片去痛片,症状可以稍减轻,但头痛病再犯的时候,止痛片也不管用了,不但不能干活,还严重影响了李大爷的日常生活,当头痛伴有行走时右侧肢体乏力,偶有头晕,记忆力、反应均较前下降时,家人才意识到不是单纯的头痛了,到医院行颅脑MR检查,结果示:左侧颞叶占位性病变,考虑胶质瘤可能,肿瘤有明显的压迫效应,需要手术切除。http://www.999brain.com/
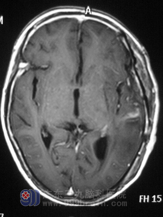
5月12日,由三九脑科医院神经外五科鲁明主任主刀,在全麻下行左颞叶占位性病变切除术,术中见灰色肿瘤,边界不清,质软,呈烂鱼肉样,在显微镜下予扩大切除,手术后给予抗炎、止血、神经营养等对症治疗,复查MR提示肿瘤全切,老人四肢活动正常,没有出现肢体偏瘫、失语等并发症。术后病理回报:(左颞叶)胶质母细胞瘤,WHOIV级。http://www.999brain.com/
【广东三九脑科医院 综合神经外科鲁明主任解析】
脑瘤最早期的症状常为头痛,疼痛程度呈进行性加重,有时可以变为持续性头痛,阵发性加剧。头痛大多由于颅内压增高所致,肿瘤增长颅内压逐渐增高,压迫、牵扯颅内疼痛敏感结构如血管、硬膜和某些颅神经而产生头痛。大多为跳痛、胀痛,部位多在额颞部或枕部,一侧大脑半球浅在的肿瘤,头痛可主要在患侧、头痛开始为间歇性,多发生于清晨、随着肿瘤的发展,头痛逐渐加重,持续时间延长。脑瘤病人出现颅压增高后,常常可出现视乳头水肿,这是发现脑瘤重要的客观体征。病人可有视力减退,一过性黑蒙,及短暂的视觉丧失,甚至失明。脑瘤病人还可能表现为眩晕、嗜睡、情绪淡漠、记忆力减退等,有些病人表现为突然的癫痫样发作。 恶性胶质瘤,生长较快,对脑组织浸润破坏,周围脑水肿亦显著,局部症状较明显,发展亦快。一经诊断,建议尽早手术治疗。http://www.999brain.com/

手术前

手术后
【我要咨询】:13602473181
【了解更多】:综合神经外科
