老年性耳聋、听神经瘤要分清
发布时间: 2017年06月02日 出处:综合神经外科 编辑:XL 点击次数:40279
老年性耳聋是指随着年龄增长逐渐发生的进行性听力减弱,重者可致全聋的一种老年性疾病。听神经瘤的早期表现主要为单侧、持续性、顽固性耳鸣,并且治疗效果不明显,久之听力下降;这是肿瘤压迫神经引起的刺激症状,因此,许多听神经瘤病人早期去耳鼻喉科看病查不出病因,被认为是一般性的听力衰退,或老年性耳聋。所以应及时在相关专科医院神经外科进行仔细鉴别。
【典型案例】
叶奶奶回忆说:六年前就出现右耳失聪,一直考虑是老年性听力衰退。听人说,通常情况下65~75岁的老年人中, 60%左右的都会有这样的症状,所以一家人也未予重视。三个月前叶奶奶出现阵发性头痛,在当地医院行头颅CT检查,提示“右侧桥小脑角占位,考虑听神经瘤”,医生告诉她:肿瘤需要行手术切除。孩子们不敢怠慢,带着奶奶直奔广州。
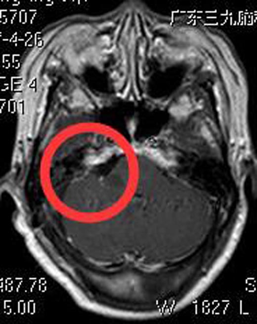
入住广东三九脑科医院综合神经外科,进一步头颅MR检查,显示:右侧桥小脑角占位性病变,大小约2.6cm×2.0cm×2.5cm,考虑听神经瘤。
由鲁明主任主刀,在全麻下行右侧桥小脑角占位切除术,术中显微镜下见肿瘤位于右侧桥小脑角,质软,珍珠样,血供少,予分块切除,面、听神经保留完整,肿瘤全切。术后叶奶奶没有面瘫、吞咽困难、饮水呛咳等后组颅神经损害症状。术后病理回报:神经鞘瘤。

▲手术前

▲手术后
