新年,把健康带回家
发布时间: 2011年02月01日 作者:神经外五科供稿 编辑:韩雪媚 点击次数:17648
摘要:广东三九脑科医院神经外五科鲁明主任指出:髓母细胞瘤儿童多见,约占80%,发病率较高,约占颅内肿瘤的1.5%,男性多见,发病高峰年龄为6~8岁。肿瘤高度恶性,生长快,病程较短。
在一般人眼里,脑肿瘤是成人、尤其是老年人得的病。对于儿童脑肿瘤则不了解,也就不够重视。其实,脑肿瘤在小儿是常见病,不仅影响其发育,而且危及生命。http://www.999brain.com
3岁的小瀚(化名)是个活泼可爱的小男孩,去年11月,家人突然发现平时跑跳灵活的小瀚突然不会走路了,动不动就跌倒,起初爷爷还笑话他,说孙子越长越小了,连路都不会走了。但随后几天,小瀚无明显诱因出现头痛、并开始呕吐,家人这才慌了神,把小瀚送到当地人民医院。检查结果非常残酷,小瀚脑子里长了一个肿瘤。
为了给儿子找到最好的医院治疗,小瀚的父亲四处打听,咨询亲朋好友、上网搜索、四处打电话咨询……最终,他选定了广东三九脑科医院。11月29日,小瀚在父母的陪同下来到广东三九脑科医院求医,并找到了神经外五科 鲁明 主任。入院后,鲁明 主任详细了解了小瀚的病情,结合其头颅检查,凭借多年的脑肿瘤诊疗经验,初步诊断为:四脑室占位性病变,梗阻性脑积水。鲁明 主任指出:凭其影像学表现上看,长在小瀚脑子里的肿瘤可能恶性程度较高。12月1日,小瀚在全麻下接受了“右侧脑室腹腔分流术+四脑室内占位切除术”。术程顺利,术后,小瀚头痛呕吐症状消失了,四肢肌力也逐步恢复到正常。术后病理报告示:髓母细胞瘤WHO IV级。术后,小瀚在广东三九脑科医院肿瘤综合治疗中心接受了放化疗,目前已经康复回家。http://www.999brain.com

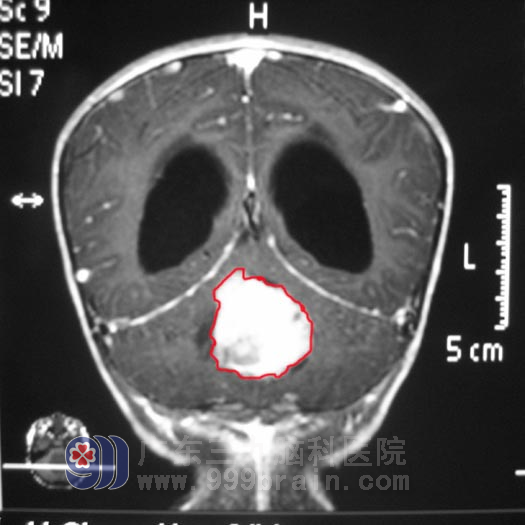
术前(红色标记为肿瘤)

术后肿瘤消失
【三九脑科医院专家点评】
广东三九脑科医院神经外五科 鲁明 主任指出:髓母细胞瘤为儿童多见,约占80%,发病率较高,约占颅内肿瘤的1.5%,男性多见,发病高峰年龄为6~8岁。肿瘤高度恶性,生长快,病程较短。
髓母细胞瘤的治疗主要是手术切除与术后放射治疗,部分病例可辅以化疗。由于肿瘤属高度恶性,加之肿瘤边界不十分清楚,故手术后易复发。多数神经外科医生主张手术尽可能多切除肿瘤至少做到使脑脊液循环梗阻恢复通畅,术后再予以放疗。早年的手术死亡率高达17%26.5%,随着手术技术和设备条件的不断进步,近几年髓母细胞瘤病人的手术死亡率已明显下降。
【儿童脑瘤临床特点】http://www.999brain.com
呕吐 是儿童颅内脑肿瘤最常见的症状,发生率73%-94%,常伴有头晕、头痛、恶心及颈僵直。呕吐多为喷射性,与进食无关。起初呕吐发生在清晨,随着病情的发展可发生在任何时间,呈间歇性反复发作。儿童呕吐后能立即进食,而进食后又很快呕吐,常期反复发作可出现脱水、营养不良,易误诊为胃肠道疾病。
头痛 为颅内压增高所致。常无固定位置,呈弥漫性,少数诉在前额和后枕部。随病情发展逐渐加重,严重时伴有呕吐和头部出汗,常常在双眼失明后头痛会减轻或消失。婴幼儿年龄小不会表达头痛情况,仅表现哭闹不安或击打头部时,应予重视。
视力减退或复视 有一半的儿童肿瘤有视力减退表现。虽然是常见的症状但容易被忽视,有不少患儿双眼视力严重下降甚至近似失明才被家长注意。与成年患者不同,儿童鞍区肿瘤出现视野缺损比较少见,但近1/4儿童颅内肿瘤患者有复视表现,是由于颅内压高压迫导致外展神经或动眼神经不全麻痹的结果,主要表现双眼内斜视。眼科检查眼底近70-80%患儿有视乳头水肿的表现。
头颅增大 多发生在婴幼儿,发生率近50%,是由于颅缝未闭或颅缝闭合不严、颅内压增高导致颅缝分离的结果。在前囟未闭患儿可有前囟增大或膨隆,并有头皮静脉扩张,叩诊听有破壶音,这是小儿颅内压增高特有的表现。但这种头颅增大与先天性脑积水相比增大没那么严重,并且很少有双眼的“日落征”。http://www.999brain.com
走路不稳 主要是因为肿瘤生长在后颅窝累及或压迫了小脑蚓部、小脑或脑干导致的共济远动障碍,表现为站立不稳、步态偏斜,伴有持物不准不稳、眼球震颤等。
除了上述表现之外,鲁明 主任指出,如果孩子还表现出有眼斜或者眼球不能上视(也就是对眼或斗鸡眼)、颈部抵抗或斜颈、身材矮小或肥胖、多饮多尿、癫痫发作、性早熟、发烧及意识或精神异常等症状,不能确定是其他疾病引起,就应该上医院进行CT、MRI检查,以排查脑肿瘤,尽早发现、尽早治疗。
【我要咨询】:13602473181
【了解更多】:神经外五科
