视野缺损,并非青光眼的“专利”
发布时间: 2012年10月08日 出处:垂体瘤诊疗中心 编辑:谢莉 点击次数:83715
陈爷爷今年67岁。双眼视力进行性下降有半年多时间,不是平地摔跟斗就是被门撞到。家人一直怀疑他白内障、青光眼可能性大,儿子带着他在当地医院眼科检查,诊断结果是眼睛没有问题。家里人觉得奇了怪了,眼睛是正常的,怎么走路时总是磕磕碰碰?http://www.999brain.com/
在当地医生的建议下,做了头颅CT检查,提示:鞍区病变。
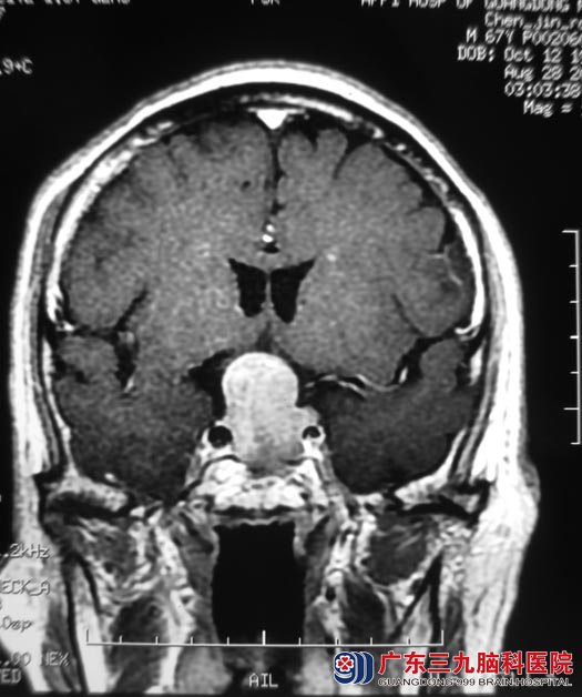
广东三九脑科医院头颅MR显示:鞍区占位性病变,考虑为垂体大腺瘤,约1.6cm×1.5cm×2.8cm;血液检查结果提示:内分泌激素明显增高。http://www.999brain.com/
垂体瘤诊疗中心 鲁明主任告诉他们:当肿瘤向鞍上生长压迫视交叉和视神经时,就会引起视力下降或视野缺损,患者就会感觉视力下降、看不到两边,或总是撞门。出现了视力视野障碍就需要尽快手术,以解除对视神经的压迫,挽救视力。
两天后,陈爷爷在全麻下接受了经鼻蝶垂体瘤切除术,术前导航定位,术中可见肿瘤呈灰白色,质软,易吸出,包膜完整,镜下近全切除肿瘤,鞍膈下陷,无脑脊液流出。术后第二天,他的视力较前好转,没有出现并发症。术后病理结果为:垂体瘤(泌乳素型垂体腺瘤)。

▲手术前

▲手术后
【我要咨询】 13602473181 15915766180
【QQ聊聊】: 1194617505
